• Tel: 858.663.9055
  • SeparatorEmail: info@nsjbio.com
  • Tel: 858.663.9055
  • Email: info@nsjbio.com
Home >> Antibodies >> Complement C1q B-Chain Antibody / C1QB

Complement C1q B-Chain Antibody / C1QB [clone C1QB/2962] (V8815)

  Catalog No Formulation Size Price (USD)  
Image V8815-100UG 0.2 mg/ml in 1X PBS with 0.1 mg/ml BSA (US sourced), 0.05% sodium azide 100 ug 559
Image
V8815-20UG 0.2 mg/ml in 1X PBS with 0.1 mg/ml BSA (US sourced), 0.05% sodium azide 20 ug 259
Image
V8815SAF-100UG 1 mg/ml in 1X PBS; BSA free, sodium azide free 100 ug 559
Bulk quote request
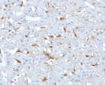
IHC staining of FFPE human hepatocellular carcinoma tissue with Complement C1q B-Chain antibody (clone C1QB/2962). HIER: boil tissue sections in pH 9 10mM Tris with 1mM EDTA for 20 min and allow to cool before testing.
SDS-PAGE analysis of purified, BSA-free Complement C1q B-Chain antibody (C1QB/2962) as confirmation of integrity and purity.
Availability 1-3 business days
Species Reactivity Human
Format Purified
Host Mouse
Clonality Monoclonal (mouse origin)
Isotype Mouse IgG, kappa
Clone Name C1QB/2962
Purity Protein A/G affinity
UniProt P02746
Localization Cell surface, Cytoplasm
Applications Immunohistochemistry (FFPE) : 1-2ug/ml
Limitations This Complement C1q B-Chain antibody is available for research use only.
Review this product on BioCompare and get a $20 Amazon gift card

Related Products

Description

C1q, a subcomponent of the classical complement pathway, is composed of nine subunits that mediate classical complement activation and thereby play an important role in the immune response. Six of these subunits are disulfide-linked dimers of chains A and B, while three of these subunits, designated C1q-A through C1q-C, are disulfide-linked dimers of chain C. Each chain contains an N-terminal collagen-like region and a C-terminal C1q globular domain. The presence of receptors for C1q on effector cells modulates its activity, which may be antibody-dependent or independent. Macrophages are the primary source of C1q, while anti-inflammatory drugs as well as cytokines differentially regulate expression of the mRNA as well as the protein. C1q deficiency is associated with lupus erythematosus and glomerulonephritis.

Application Notes

Optimal dilution of the Complement C1q B-Chain antibody should be determined by the researcher.

Immunogen

A portion of amino acids 41-188 was used as the immunogen for the Complement C1q B-Chain antibody.

Storage

Aliquot the Complement C1q B-Chain antibody and store frozen at -20oC or colder. Avoid repeated freeze-thaw cycles.

Cross
Bulk Quote Request Form
Name*:
Organization*:
Email*:
Phone Number*:
Catalog No.*:
Comments and Specifics(amount, formulation, etc.)*:
Validation code: Captchapackage Image


Can't read the image? click here to refresh.
    *required field

Your bulk quote request has been submitted successfully!

Please contact us if you have any questions.