• Tel: 858.663.9055
  • SeparatorEmail: info@nsjbio.com
  • Tel: 858.663.9055
  • Email: info@nsjbio.com
Home >> Antibodies >> Clusterin Antibody / CLU

Clusterin Antibody / CLU (RQ7160)

  Catalog No Formulation Size Price (USD)  
Image RQ7160 0.5mg/ml if reconstituted with 0.2ml sterile DI water 100 ug 449
Bulk quote request
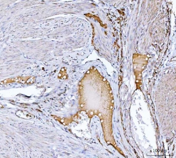
Clusterin Antibody Endometrial Cancer IHC. Immunohistochemistry staining of FFPE human endometrial cancer tissue with Clusterin antibody. HIER: boil tissue sections in pH8 EDTA for 20 min and allow to cool before testing.
Clusterin Antibody Human Placenta WB. Western blot testing of human placental tissue lysate with Clusterin antibody. Predicted molecular weight: 75-80 kDa (heterodimer precursor), 36-39 kDa (alpha subunit), 34-36 kDa (beta subunit).
Availability 1-3 business days
Species Reactivity Human
Format Antigen affinity purified
Host Rabbit
Clonality Polyclonal (rabbit origin)
Isotype Rabbit IgG
Purity Antigen affinity purified
Buffer Lyophilized from 1X PBS with 2% Trehalose
UniProt P10909
Localization Nucleus, Cytoplasm
Applications Western Blot : 0.5-1ug/ml
Immunohistochemistry (FFPE) : 2-5ug/ml
Direct ELISA : 0.1-0.5ug/ml
Limitations This Clusterin antibody is available for research use only.
Review this product on BioCompare and get a $20 Amazon gift card

Related Products

Description

Clusterin Antibody detects Clusterin protein, a secreted chaperone that can under some stress conditions also be found in the cell cytosol. It has been suggested to be involved in several basic biological events such as cell death, tumor progression, and neurodegenerative disorders. Alternate splicing results in both coding and non-coding variants.

This Clusterin antibody complements a related Clusterin antibody used to study CLU, APO-J, and Apolipoprotein J biology.

Application Notes

Optimal dilution of the Clusterin antibody should be determined by the researcher.

Immunogen

Recombinant human protein (amino acids A108-Q320) was used as the immunogen for the Clusterin antibody.

Storage

After reconstitution, the Clusterin antibody can be stored for up to one month at 4oC. For long-term, aliquot and store at -20oC. Avoid repeated freezing and thawing.

Cross
Bulk Quote Request Form
Name*:
Organization*:
Email*:
Phone Number*:
Catalog No.*:
Comments and Specifics(amount, formulation, etc.)*:
Validation code: Captchapackage Image


Can't read the image? click here to refresh.
    *required field

Your bulk quote request has been submitted successfully!

Please contact us if you have any questions.