• Tel: 858.663.9055
  • SeparatorEmail: info@nsjbio.com
  • Tel: 858.663.9055
  • Email: info@nsjbio.com
Home >> Antibodies >> CLPS Antibody / Colipase

CLPS Antibody / Colipase [clone CLPS/9902] (V5669)

  Catalog No Formulation Size Price (USD)  
Image V5669-100UG 0.2 mg/ml in 1X PBS with 0.1 mg/ml BSA (US sourced), 0.05% sodium azide 100 ug 559
Image
V5669-20UG 0.2 mg/ml in 1X PBS with 0.1 mg/ml BSA (US sourced), 0.05% sodium azide 20 ug 259
Image
V5669SAF-100UG 1 mg/ml in 1X PBS; BSA free, sodium azide free 100 ug 559
Bulk quote request
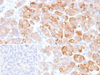
IHC staining of FFPE human pancreas tissue with CLPS antibody (clone CLPS/9902). Inset: PBS used in place of primary Ab (secondary Ab negative control). HIER: boil tissue sections in pH 9 10mM Tris with 1mM EDTA for 20 min and allow to cool before testing.
Western blot testing of human pancreas tissue lysate with CLPS antibody. Predicted molecular weight ~12 kDa.
SDS-PAGE analysis of purified, BSA-free CLPS antibody (clone CLPS/9902) as confirmation of integrity and purity.
Availability 1-3 business days
Species Reactivity Human
Format Purified
Host Mouse
Clonality Monoclonal (mouse origin)
Isotype Mouse IgG, kappa
Clone Name CLPS/9902
Purity Protein G affinity
UniProt P04118
Localization Secreted
Applications Immunohistochemistry (FFPE) : 1-2ug/ml
Western Blot : 2-4ug/ml
Limitations This CLPS antibody is available for research use only.
Review this product on BioCompare and get a $20 Amazon gift card

Related Products

Description

The lipase gene family belongs to one of the most robust genetic superfamilies found in living organisms, which includes esterases and thioesterases. Members of the AB hydrolase subfamily include Hepatic Lipase (HL), Endothelial Lipase (EL), Lipoprotein Lipase (LPL), Pancreatic Lipase (PL), Gastric Lipase (GL) and LCAT. These family members play a crucial role in the metabolism of lipids. Pancreatic lipase, also designated pancreatic triacylglycerol acyl hydrolase, is important for dietary fat absorption as it hydrolyses triglycerides into diglycerides, monoglycerides and free fatty acids. Colipase, also known as CLPS or pancreatic colipase preproprotein, is a 112 amino acid secreted protein that functions as a cofactor of pancreatic lipase. Necessary for dietary lipid hydrolysis and localizing to pancreatic acinar cells, colipase allows pancreatic lipase to anchor itself to the lipid-water interface of lipid micelles, thereby preventing intestinal bile salts from washing it off.

This antibody complements a related CLPS antibody used to study pancreatic digestive enzyme function.

Application Notes

Optimal dilution of the CLPS antibody should be determined by the researcher.

Immunogen

A portion of amino acids 1-112 from human CLPS protein was used as the immunogen for the CLPS antibody.

Storage

Aliquot the CLPS antibody and store frozen at -20oC or colder. Avoid repeated freeze-thaw cycles.

Cross
Bulk Quote Request Form
Name*:
Organization*:
Email*:
Phone Number*:
Catalog No.*:
Comments and Specifics(amount, formulation, etc.)*:
Validation code: Captchapackage Image


Can't read the image? click here to refresh.
    *required field

Your bulk quote request has been submitted successfully!

Please contact us if you have any questions.