- Tel: 858.663.9055
- 
									 Email: info@nsjbio.com Email: info@nsjbio.com
- Tel: 858.663.9055
- Email: info@nsjbio.com
 Email: info@nsjbio.com
Email: info@nsjbio.com
								Related Products
| 
 | 
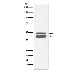
KRT18 encodes the type I intermediate filament chain keratin 18. Cytokeratin 18, together with its filament partner keratin 8, are perhaps the most commonly found members of the intermediate filament gene family. They are expressed in single layer epithelial tissues of the body. Mutations in this gene have been linked to cryptogenic cirrhosis. [RefSeq]
Optimal dilution of the CK18 antibody should be determined by the researcher.
A synthetic peptide specific to human Cytokeratin 18 / KRT18 was used as the immunogen for the CK18 antibody.
Store the CK18 antibody at -20oC.
 
Your bulk quote request has been submitted successfully!
Please contact us if you have any questions.