• Tel: 858.663.9055
  • SeparatorEmail: info@nsjbio.com
  • Tel: 858.663.9055
  • Email: info@nsjbio.com
Home >> Antibodies >> CHRM2 Antibody

CHRM2 Antibody [clone 1424CT461.78.60] (F54335)

  Catalog No Formulation Size Price (USD)  
Image F54335-0.4ML In 1X PBS, pH 7.4, with 0.09% sodium azide 0.4 ml 439
Image
F54335-0.08ML In 1X PBS, pH 7.4, with 0.09% sodium azide 0.08 ml 205
Bulk quote request
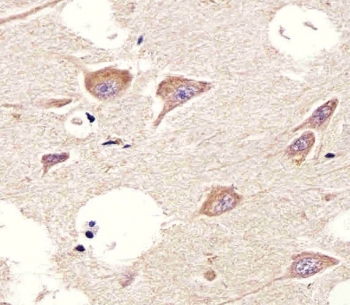
IHC testing of FFPE human brain tissue with CHRM2 antibody. HIER: steam section in pH6 citrate buffer for 20 min and allow to cool prior to staining.
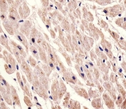
IHC testing of FFPE human heart tissue with CHRM2 antibody. HIER: steam section in pH6 citrate buffer for 20 min and allow to cool prior to staining.
Immunofluorescent staining of fixed and permeabilized human SH-SY5Y cells with CHRM2 antibody (green) and DAPI nuclear stain (blue).
Western blot testing of 1) human SH-SY5Y, 2) human brain and 3) mouse brain lysate with CHRM2 antibody. Predicted molecular weight ~52 kDa.
Flow cytometry testing of fixed and permeabilized human SH-SY5Y cells with CHRM2 antibody; Blue=isotype control, Green= CHRM2 antibody.
Availability 1-3 business days
Species Reactivity Human, Mouse
Format Purified
Host Mouse
Clonality Monoclonal (mouse origin)
Isotype Mouse IgG1, kappa
Clone Name 1424CT461.78.60
Purity Protein G affinity
UniProt P08172
Applications Immunohistochemistry (FFPE) : 1:25
Western Blot : 1:500-1:2000
Immunofluorescence : 1:25
Flow Cytometry : 1:25 (1x10e6 cells)
Limitations This CHRM2 antibody is available for research use only.
Review this product on BioCompare and get a $20 Amazon gift card

Related Products

  • Applications : WB, ELISA (peptide)
    Reactivity : Human, Mouse
    Pred. Reactivity : Cow, Dog, Pig
  • Applications : WB
    Reactivity : Mouse, Rat
    Pred. Reactivity : Human

Description

The muscarinic acetylcholine receptor mediates various cellular responses, including inhibition of adenylate cyclase, breakdown of phosphoinositides and modulation of potassium channels through the action of G proteins. Primary transducing effect is adenylate cyclase inhibition.

Application Notes

The stated application concentrations are suggested starting points. Titration of the CHRM2 antibody may be required due to differences in protocols and secondary/substrate sensitivity.

Immunogen

A recombinant human protein was used as the immunogen for the CHRM2 antibody.

Storage

Aliquot the CHRM2 antibody and store frozen at -20oC or colder. Avoid repeated freeze-thaw cycles.

Cross
Bulk Quote Request Form
Name*:
Organization*:
Email*:
Phone Number*:
Catalog No.*:
Comments and Specifics(amount, formulation, etc.)*:
Validation code: Captchapackage Image


Can't read the image? click here to refresh.
    *required field

Your bulk quote request has been submitted successfully!

Please contact us if you have any questions.