• Tel: 858.663.9055
  • SeparatorEmail: info@nsjbio.com
  • Tel: 858.663.9055
  • Email: info@nsjbio.com
Home >> Antibodies >> CHD1 Antibody / Chromodomain-helicase-DNA-binding protein 1

CHD1 Antibody / Chromodomain-helicase-DNA-binding protein 1 (RQ7221)

  Catalog No Formulation Size Price (USD)  
Image RQ7221 0.5mg/ml if reconstituted with 0.2ml sterile DI water 100 ug 449
Bulk quote request
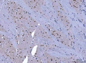
IHC staining of FFPE mouse brain tissue with CHD1 antibody. HIER: boil tissue sections in pH8 EDTA for 20 min and allow to cool before testing.
IHC staining of FFPE rat brain tissue with CHD1 antibody. HIER: boil tissue sections in pH8 EDTA for 20 min and allow to cool before testing.
Western blot testing of human 1) HeLa, 2) 293T, 3) K562, 4) MOLT-4, 5) U-251 and 6) HEL cell lysate with CHD1 antibody. Predicted molecular weight ~197 kDa but can be observed at ~250 kDa.
Flow cytometry testing of human HeLa cells with CHD1 antibody at 1ug/million cells (blocked with goat sera); Red=cells alone, Green=isotype control, Blue= CHD1 antibody.
Availability 1-3 business days
Species Reactivity Human, Mouse, Rat
Format Antigen affinity purified
Host Rabbit
Clonality Polyclonal (rabbit origin)
Isotype Rabbit IgG
Purity Antigen affinity purified
Buffer Lyophilized from 1X PBS with 2% Trehalose
UniProt O14646
Localization Nuclear, cytoplasmic
Applications Western Blot : 0.5-1ug/ml
Immunohistochemistry (FFPE) : 2-5ug/ml
Flow Cytometry : 1-3ug/million cells
Direct ELISA : 0.1-0.5ug/ml
Limitations This CHD1 antibody is available for research use only.
Review this product on BioCompare and get a $20 Amazon gift card

Description

The Chromodomain-Helicase DNA-binding 1 is a protein that, in humans, is encoded by the CHD1 gene. The CHD family of proteins is characterized by the presence of chromo (chromatin organization modifier) domains and SNF2-related helicase/ATPase domains. CHD genes alter gene expression possibly by modification of chromatin structure thus altering access of the transcriptional apparatus to its chromosomal DNA template.

Application Notes

Optimal dilution of the CHD1 antibody should be determined by the researcher.

Immunogen

Recombinant human protein (amino acids E71-D1250) was used as the immunogen for the CHD1 antibody.

Storage

After reconstitution, the CHD1 antibody can be stored for up to one month at 4oC. For long-term, aliquot and store at -20oC. Avoid repeated freezing and thawing.

Cross
Bulk Quote Request Form
Name*:
Organization*:
Email*:
Phone Number*:
Catalog No.*:
Comments and Specifics(amount, formulation, etc.)*:
Validation code: Captchapackage Image


Can't read the image? click here to refresh.
    *required field

Your bulk quote request has been submitted successfully!

Please contact us if you have any questions.