• Tel: 858.663.9055
  • SeparatorEmail: info@nsjbio.com
  • Tel: 858.663.9055
  • Email: info@nsjbio.com
Home >> Antibodies >> CFTR Antibody

CFTR Antibody [clone CFTR/1341] (V3424)

  Catalog No Formulation Size Price (USD)  
Image V3424-100UG 0.2 mg/ml in 1X PBS with 0.1 mg/ml BSA (US sourced) and 0.05% sodium azide 100 ug 559
Image
V3424-20UG 0.2 mg/ml in 1X PBS with 0.1 mg/ml BSA (US sourced) and 0.05% sodium azide 20 ug 259
Image
V3424SAF-100UG 1 mg/ml in 1X PBS; BSA free, sodium azide free 100 ug 559
Bulk quote request
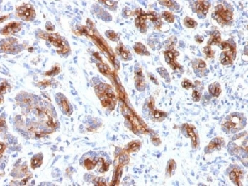
IHC testing of FFPE human pancreas with CFTR antibody (clone CFTR/1341). HIER: boil tissue sections in 10mM Tris with 1mM EDTA, pH9 for 10-20 min followed by cooling at RT for 20 min.
SDS-PAGE Analysis of Purified, BSA-Free CFTR Antibody (clone CFTR/1341). Confirmation of Integrity and Purity of the Antibody.
Species Reactivity Human
Format Purified
Host Mouse
Clonality Monoclonal (mouse origin)
Isotype Mouse IgG1, kappa
Clone Name CFTR/1341
Purity Protein G affinity chromatography
Buffer 1X PBS, pH 7.4
Gene ID 1080
Localization Cell surface, cytoplasmic
Applications Immunohistochemistry (FFPE) : 0.5-1ug/ml for 30 min at RT
Limitations This CFTR antibody is available for research use only.
Review this product on BioCompare and get a $20 Amazon gift card

Related Products

Description

Cystic fibrosis transmembrane conductance regulator (CFTR) is composed of two membrane-spanning domains (MSD), two nucleotide-binding domains (NBD), and an R domain. It is structurally similar to multidrug resistance (MDR1) protein and both are members of the superfamily of ATP-binding cassette (ABC) transporters, also known as traffic ATPases, which are implicated in the movement of various substrates. The protein is a small conductance adenosine 3',5'-cyclic monophosphate (cAMP)-activated chloride ion channel found in the apical membranes of epithelia within the pancreas, airway, intestine, bile duct, sweat gland, and male genital ducts. CFTR is a valuable marker of human pancreatic duct cell development and differentiation.

This CFTR antibody is part of a broader CFTR antibody panel offered by NSJ Bioreagents.

Application Notes

The concentration stated for each application is a general starting point. Variations in protocols, secondaries and substrates may require the CFTR antibody to be titered up or down for optimal performance.

Immunogen

Human recombinant protein was used as the immunogen for this CFTR antibody.

Storage

Store the CFTR antibody at 2-8oC (with azide) or aliquot and store at -20oC or colder (without azide).

Cross
Bulk Quote Request Form
Name*:
Organization*:
Email*:
Phone Number*:
Catalog No.*:
Comments and Specifics(amount, formulation, etc.)*:
Validation code: Captchapackage Image


Can't read the image? click here to refresh.
    *required field

Your bulk quote request has been submitted successfully!

Please contact us if you have any questions.