• Tel: 858.663.9055
  • SeparatorEmail: info@nsjbio.com
  • Tel: 858.663.9055
  • Email: info@nsjbio.com
Home >> Antibodies >> Cdk2 Antibody / Cell division protein kinase 2

Cdk2 Antibody / Cell division protein kinase 2 (R30623)

  Catalog No Formulation Size Price (USD)  
Image R30623 0.5mg/ml if reconstituted with 0.2ml sterile DI water 100 ug 449
Bulk quote request
Western blot testing of 1) human Jurkat, 2) human HepG2, 3) human U-2 OS, 4) human K562, 5) rat L6 and 6) mouse NIH 3T3 cell lysate with Cdk2 antibody. Predicted molecular weight ~33 kDa.
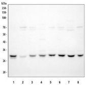
Western blot testing of human 1) Jurkat, 2) HepG2, 3) U-2 OS, 4) K562, 5) T-47D, 6) Caco-2, 7) 293T and 8) PC-3 cell lysate with Cdk2 antibody. Predicted molecular weight ~33 kDa.
Availability 1-3 business days
Species Reactivity Human, Mouse, Rat
Format Antigen affinity purified
Host Rabbit
Clonality Polyclonal (rabbit origin)
Isotype Rabbit IgG
Purity Antigen affinity
Buffer Lyophilized from 1X PBS with 2% Trehalose
UniProt P24941
Applications Western Blot : 0.5-1ug/ml
Limitations This Cdk2 antibody is available for research use only.
Review this product on BioCompare and get a $20 Amazon gift card

Related Products

  • Applications : WB, FACS
    Reactivity : Human, Mouse
  • Applications : WB, IHC-P, FACS
    Reactivity : Human, Mouse, Rat
  • Applications : WB, IHC-P
    Reactivity : Human, Mouse, Rat
  • Applications : WB, IHC, FACS, ELISA
    Reactivity : Human
    Pred. Reactivity : Mouse, Rat, Bovine, Hamster, Xenopus
  • Applications : IHC, WB, ELISA
    Reactivity : Human
    Pred. Reactivity : Mouse, Rat, Bovine, Hamster, Xenopus
  • Applications : DB, ELISA
    Reactivity : Human
    Pred. Reactivity : Bovine, Hamster, Mouse, Rat, Xenopus
  • Applications : WB, IHC-P, IF
    Reactivity : Human

Description

Cyclin-Dependent Kinase 2 is also know as p33. The protein is highly homologous to p34 (CDC2) kinase and more significantly homologous to Xenopus Eg1 kinase, suggesting thatCdk2is the human homolog of Eg1. The gene is mapped to 12q13, the same region to which theCdk4gene maps. Human Cyclin A binds independently to two kinases, p34/Cdc2) or p33/Cdk2. In adenovirus-transformed cells, the viral E1A oncoprotein seems to associate with p33/Cyclin A but not with p34(cdc2)/cyclin A. The gene for p33 shares 65% sequence identity with p34(cdc2). Cdk2 plays a unique role in cell cycle regulation of vertebrate cells.

Application Notes

The stated application concentrations are suggested starting amounts. Titration of the Cdk2 antibody may be required due to differences in protocols and secondary/substrate sensitivity.

Immunogen

Amino acids 277-298 (AKAALAHPFFQDVTKPVPHLRL) were used as the immunogen for this Cdk2 antibody (100% homologous in human, mouse and rat).

Storage

After reconstitution, the Cdk2 antibody can be stored for up to one month at 4oC. For long-term, aliquot and store at -20oC. Avoid repeated freezing and thawing.

Cross
Bulk Quote Request Form
Name*:
Organization*:
Email*:
Phone Number*:
Catalog No.*:
Comments and Specifics(amount, formulation, etc.)*:
Validation code: Captchapackage Image


Can't read the image? click here to refresh.
    *required field

Your bulk quote request has been submitted successfully!

Please contact us if you have any questions.