• Tel: 858.663.9055
  • SeparatorEmail: info@nsjbio.com
  • Tel: 858.663.9055
  • Email: info@nsjbio.com
Home >> Antibodies >> CD40 Ligand Antibody / TRAP / CD154

CD40 Ligand Antibody / TRAP / CD154 [clone CD40LG/2761] (V7385)

  Catalog No Formulation Size Price (USD)  
Image V7385-100UG 0.2 mg/ml in 1X PBS with 0.1 mg/ml BSA (US sourced) and 0.05% sodium azide 100 ug 559
Image
V7385-20UG 0.2 mg/ml in 1X PBS with 0.1 mg/ml BSA (US sourced) and 0.05% sodium azide 20 ug 259
Image
V7385SAF-100UG 1 mg/ml in 1X PBS; BSA free, sodium azide free 100 ug 559
Image
V7385IHC-7ML Prediluted in 1X PBS with 0.1 mg/ml BSA (US sourced) and 0.05% sodium azide; *For IHC use only* 7 ml 559
Microvalidated
Bulk quote request
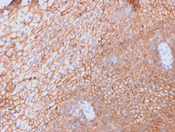
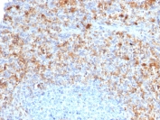
IHC testing of FFPE human spleen with CD40 Ligand antibody (clone CD40LG/2761). HIER: boil tissue sections in pH6, 10mM citrate buffer, for 10-20 min followed by cooling at RT for 20 min.
Analysis of HuProt(TM) microarray containing more than 19,000 full-length human proteins using CD40 Ligand antibody (clone CD40LG/2761). These results demonstrate the foremost specificity of the CD40LG/2761 mAb.
Z- and S- score: The Z-score represents the strength of a signal that an antibody (in combination with a fluorescently-tagged anti-IgG secondary Ab) produces when binding to a particular protein on the HuProt(TM) array. Z-scores are described in units of standard deviations (SD's) above the mean value of all signals generated on that array. If the targets on the HuProt(TM) are arranged in descending order of the Z-score, the S-score is the difference (also in units of SD's) between the Z-scores. The S-score therefore represents the relative target specificity of an Ab to its intended target.
IHC testing of FFPE human spleen with CD40 Ligand antibody (clone CD40LG/2761). HIER: boil tissue sections in pH6, 10mM citrate buffer, for 10-20 min followed by cooling at RT for 20 min.
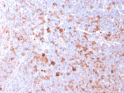
IHC testing of FFPE human tonsil with CD40 Ligand antibody (clone CD40LG/2761). HIER: boil tissue sections in pH6, 10mM citrate buffer, for 10-20 min followed by cooling at RT for 20 min.
Immunofluorescent staining of paraformaldehyde-fixed human Jurkat cells with CD40 Ligand antibody (green, clone CD40LG/2761) and Reddot nuclear stain (red).
Flow testing of human Jurkat cells with CD40 Ligand antibody (blue) and isotype control (red).
Availability 1-3 business days
Species Reactivity Human
Format Purified
Host Mouse
Clonality Monoclonal (mouse origin)
Isotype Mouse IgG2b, kappa
Clone Name CD40LG/2761
Purity Protein G affinity chromatography
UniProt P29965
Localization Cell surface, secreted
Applications ELISA : order BSA/sodium azide-free format for coating
Flow Cytometry : 1-2ug/million cells
Immunofluorescence : 1-2ug/ml
Immunohistochemistry (FFPE) : 1-2ug/ml for 30 min at RT
Limitations This CD40 Ligand antibody is available for research use only.
Review this product on BioCompare and get a $20 Amazon gift card

Related Products

Description

CD40LG expression is mainly confined to the CD4-positive-T-cell subset. Its expression is induced shortly after T-cell activation and represents an early activation marker of T lymphocytes. CD40 is constitutively expressed mainly on B cells, macrophages, and dendritic cells. The CD40-CD40L pathway has been shown to play multiple functional roles in the healthy immune system. It enhances the antigen-specific T-cell response through the activation of dendritic cells and the induction of interleukin-12 production. For example, engagement of CD40 on endothelial cells by activated T cells expressing CD40L leads to upregulation of adhesion molecules such as ICAM-1, VCAM-1, and E-selectin. Activation of APC by CD40-CD40L interaction induces the production of inflammatory cytokines, chemokines, NO, and metalloproteinases. Interaction of CD4-positiveCD40LG-positiveT cells with CD40 on B cells leads to B-cell differentiation, proliferation, immunoglobulin (Ig) isotype switching, and formation of memory B cells.

Application Notes

Optimal dilution of the CD40 Ligand antibody should be determined by the researcher.

1. The prediluted format is supplied in a dropper bottle and is optimized for use in IHC. After epitope retrieval step (if required), drip mAb solution onto the tissue section and incubate at RT for 30 min.

Immunogen

A portion of amino acids 108-261 from the human protein was used as the immunogen for the CD40 Ligand antibody.

Storage

Store the CD40 Ligand antibody at 2-8oC (with azide) or aliquot and store at -20oC or colder (without azide).

Cross
Bulk Quote Request Form
Name*:
Organization*:
Email*:
Phone Number*:
Catalog No.*:
Comments and Specifics(amount, formulation, etc.)*:
Validation code: Captchapackage Image


Can't read the image? click here to refresh.
    *required field

Your bulk quote request has been submitted successfully!

Please contact us if you have any questions.