• Tel: 858.663.9055
  • SeparatorEmail: info@nsjbio.com
  • Tel: 858.663.9055
  • Email: info@nsjbio.com
Home >> Antibodies >> CD40 Antibody

CD40 Antibody [clone C40/2383] (V3938)

  Catalog No Formulation Size Price (USD)  
Image V3938-100UG 0.2 mg/ml in 1X PBS with 0.1 mg/ml BSA (US sourced) and 0.05% sodium azide 100 ug 559
Image
V3938-20UG 0.2 mg/ml in 1X PBS with 0.1 mg/ml BSA (US sourced) and 0.05% sodium azide 20 ug 259
Image
V3938SAF-100UG 1 mg/ml in 1X PBS; BSA free, sodium azide free 100 ug 559
Microvalidated
Bulk quote request
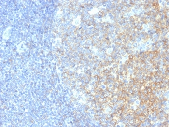
IHC testing of human tonsil with CD40 antibody (clone C40/2383). HIER: boil tissue sections in pH9 EDTA for 10-20 min.
Flow cytometry testing of human U-2 OS cells with CD40 antibody (clone C40/2383); Red=isotype control, Blue= CD40 antibody.
Analysis of HuProt(TM) microarray containing more than 19,000 full-length human proteins using CD40 antibody (clone C40/2383). These results demonstrate the foremost specificity of the C40/2383 mAb.
Z- and S- score: The Z-score represents the strength of a signal that an antibody (in combination with a fluorescently-tagged anti-IgG secondary Ab) produces when binding to a particular protein on the HuProt(TM) array. Z-scores are described in units of standard deviations (SD's) above the mean value of all signals generated on that array. If the targets on the HuProt(TM) are arranged in descending order of the Z-score, the S-score is the difference (also in units of SD's) between the Z-scores. The S-score therefore represents the relative target specificity of an Ab to its intended target.
SDS-PAGE analysis of purified, BSA-free CD40 antibody (clone C40/2383) as confirmation of integrity and purity.
IHC testing of human tonsil with CD40 antibody (clone C40/2383). HIER: boil tissue sections in 10mM citrate buffer, pH 6, for 10-20 min.
Western blot testing of human Raji cell lysate with CD40 antibody. Expected molecular weight is 30-45 kDa depending on glycosylation level.
Availability 1-3 business days
Species Reactivity Human
Format Purified
Host Mouse
Clonality Monoclonal (mouse origin)
Isotype Mouse IgG2b, kappa
Clone Name C40/2383
Purity Protein G affinity chromatography
UniProt P25942
Localization Cell surface, cytoplasmic
Applications ELISA (order BSA/sodium Azide-free Format For Coating) :
Flow Cytometry : 1-2ug/10^6 cells
Immunohistochemistry (FFPE) : 1-2ug/ml for 30 min at RT
Western Blot : 2-4ug/ml
Limitations This CD40 antibody is available for research use only.
Review this product on BioCompare and get a $20 Amazon gift card

Related Products

  • Applications : WB, IHC-P
    Reactivity : Human
    Recrabbitmono
  • Applications : IHC-P
    Reactivity : Human
    Recrabbitmono
  • Applications : IHC, WB
    Reactivity : Human
    Recmousemono
  • Applications : WB, ELISA
    Reactivity : Human
    Pred. Reactivity : Mouse, Pig
  • Applications : IF, FACS, IHC-P,
    Reactivity : Human
  • Applications : IF, FACS
    Reactivity : Human
  • Applications : IHC-P, FACS
    Reactivity : Human
  • Applications : FACS, IF
    Reactivity : Mouse
  • Applications : ELISA, IHC-P
    Reactivity : Human
  • Applications : WB
    Reactivity : Mouse
  • Applications : WB
    Reactivity : Human
  • Applications : WB, ELISA
    Reactivity : Human
    Pred. Reactivity : Mouse, Pig
  • Applications : WB, IHC-P, FACS, ELISA (protein)
    Reactivity : Human
  • Applications : WB, IHC-P, FACS, ELISA (protein)
    Reactivity : Human, Mouse
  • Applications : WB, ELISA
    Reactivity : Mouse, Rat

Description

CD40 is a receptor on antigen-presenting cells of the immune system and is essential for mediating a broad variety of immune and inflammatory responses including T cell-dependent immunoglobulin class switching, memory B cell development, and germinal center formation. AT-hook transcription factor AKNA is reported to coordinately regulate the expression of this receptor and its ligand, which may be important for homotypic cell interactions. Adaptor protein TNFR2 interacts with this receptor and serves as a mediator of the signal transduction. The interaction of this receptor and its ligand is found to be necessary for amyloid-beta-induced microglial activation, and thus is thought to be an early event in Alzheimer disease pathogenesis. CD40 is expressed on B-lymphocytes, follicular dendritic cells, bone marrow-derived dendritic cells, thymic epithelium, and interdigitating cells in the T-cell zones of secondary lymphoid organs.

Application Notes

Optimal dilution of the CD40 antibody should be determined by the researcher.

Immunogen

A portion of amino acids 29-107 from the human protein was used as the immunogen for the CD40 antibody.

Storage

Store the CD40 antibody at 2-8oC (with azide) or aliquot and store at -20oC or colder (without azide).

Cross
Bulk Quote Request Form
Name*:
Organization*:
Email*:
Phone Number*:
Catalog No.*:
Comments and Specifics(amount, formulation, etc.)*:
Validation code: Captchapackage Image


Can't read the image? click here to refresh.
    *required field

Your bulk quote request has been submitted successfully!

Please contact us if you have any questions.