• Tel: 858.663.9055
  • SeparatorEmail: info@nsjbio.com
  • Tel: 858.663.9055
  • Email: info@nsjbio.com
Home >> Antibodies >> CD163 Antibody

CD163 Antibody [clone RM371] (R20390)

  Catalog No Formulation Size Price (USD)  
Image R20390-0.1ML Antibody in PBS with 50% glycerol, 1% BSA and 0.09% sodium azide 100 ul 439
Microvalidated Recrabbitmono
Bulk quote request
Western blot testing of human placental tissue lysate with recombinant CD163 antibody at 1:2000 dilution. Predicted molecular weight ~130 kDa but may be observed at higher molecular weights due to glycosylation.
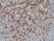
IHC staining of FFPE human spleen tissue with recombinant CD163 antibody at 1:1000.
Availability 1-3 business days
Species Reactivity Human
Format Purified
Host Rabbit
Clonality Recombinant Rabbit Monoclonal
Isotype Rabbit IgG
Clone Name RM371
Purity Protein A purified from animal origin-free supernatant
UniProt Q86VB7
Localization Cell surface, cytoplasmic
Applications Immunohistochemistry (FFPE) : 1:500-1:1000
Western Blot : 1:1000-1:2000
Limitations This recombinant CD163 antibody is available for research use only.
Review this product on BioCompare and get a $20 Amazon gift card

Related Products

Description

This antibody reacts to human CD163.

Application Notes

The stated application concentrations are suggested starting points. Titration of the recombinant CD163 antibody may be required due to differences in protocols and secondary/substrate sensitivity.

Immunogen

A peptide corresponding to the N-terminus of human CD163 was used as the immunogen for the recombinant CD163 antibody.

Storage

Store the recombinant CD163 antibody at -20oC.

Cross
Bulk Quote Request Form
Name*:
Organization*:
Email*:
Phone Number*:
Catalog No.*:
Comments and Specifics(amount, formulation, etc.)*:
Validation code: Captchapackage Image


Can't read the image? click here to refresh.
    *required field

Your bulk quote request has been submitted successfully!

Please contact us if you have any questions.