• Tel: 858.663.9055
  • SeparatorEmail: info@nsjbio.com
  • Tel: 858.663.9055
  • Email: info@nsjbio.com
Home >> Antibodies >> CD14 Antibody (Macrophage Marker)

CD14 Antibody (Macrophage Marker) [clone LPSR/2397] (V3753)

  Catalog No Formulation Size Price (USD)  
Image V3753-100UG 0.2 mg/ml in 1X PBS with 0.1 mg/ml BSA (US sourced) and 0.05% sodium azide 100 ug 559
Image
V3753-20UG 0.2 mg/ml in 1X PBS with 0.1 mg/ml BSA (US sourced) and 0.05% sodium azide 20 ug 259
Image
V3753SAF-100UG 1 mg/ml in 1X PBS; BSA free, sodium azide free 100 ug 559
Microvalidated
Bulk quote request
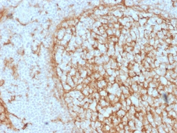
IHC testing of FFPE human tonsil with CD14 antibody (clone LPSR/2397). HIER: boil tissue sections in 10mM Tris with 1mM EDTA, pH 9, for 10-20 min followed by cooling at RT for 20 min.
IHC testing of FFPE human lymph node with CD14 antibody (clone LPSR/2397). HIER: boil tissue sections in 10mM Tris with 1mM EDTA, pH 9, for 10-20 min followed by cooling at RT for 20 min.
Analysis of HuProt(TM) microarray containing more than 19,000 full-length human proteins using CD14 antibody (clone LPSR/2397). These results demonstrate the foremost specificity of the LPSR/2397 mAb.
Z- and S- score: The Z-score represents the strength of a signal that an antibody (in combination with a fluorescently-tagged anti-IgG secondary Ab) produces when binding to a particular protein on the HuProt(TM) array. Z-scores are described in units of standard deviations (SD's) above the mean value of all signals generated on that array. If the targets on the HuProt(TM) are arranged in descending order of the Z-score, the S-score is the difference (also in units of SD's) between the Z-scores. The S-score therefore represents the relative target specificity of an Ab to its intended target.
SDS-PAGE analysis of purified, BSA-free CD14 antibody (clone LPSR/2397) as confirmation of integrity and purity.
Western blot testing of human A549 cell lysate with CD14 antibody (clone LPSR/2397). Predicted molecular weight: 40-55 kDa depending on glycosylation level.
Western blot testing of human ThP-1 cell lysate with CD14 antibody (clone LPSR/2397). Predicted molecular weight: 40-55 kDa depending on glycosylation level.
Availability 1-3 business days
Species Reactivity Human
Format Purified
Host Mouse
Clonality Monoclonal (mouse origin)
Isotype Mouse IgG2b, kappa
Clone Name LPSR/2397
Purity Protein G affinity chromatography
UniProt P08571
Localization Cell surface, Secreted, Cytoplasmic (Golgi)
Applications Western Blot : 2-4ug/ml
Immunohistochemistry (FFPE) : 1-2ug/ml for 30 min at RT
Limitations This CD14 antibody is available for research use only.
Review this product on BioCompare and get a $20 Amazon gift card

Related Products

  • Applications : IHC-P
    Reactivity : Human
    Recmousemono
  • Applications : WB, FACS, IHC-P
    Reactivity : Human
    Microvalidated
  • Applications : WB, FACS, IHC-P
    Reactivity : Human
    Microvalidated
  • Applications : WB, IHC-P
    Reactivity : Human
    Microvalidated
  • Applications : FACS, IF
    Reactivity : Human
  • Applications : FACS, IF
    Reactivity : Human
  • Applications : FACS, IF
    Reactivity : Human
  • Applications : FACS, IF
    Reactivity : Human
  • Applications : IHC-P, WB
    Reactivity : Human
  • Applications : WB
    Reactivity : Human
    Rab Mono Image
  • Applications : WB
    Reactivity : Mouse
  • Applications : WB, IHC, IF, FACS, ELISA
    Reactivity : Human
  • Applications : WB, IHC, FACS, ELISA
    Reactivity : Human
  • Applications : WB, ELISA (peptide)
    Reactivity : Human
  • Applications : WB, IHC-P
    Reactivity : Human
  • Applications : WB, IHC-P, FACS
    Reactivity : Mouse, Rat

Description

Recognizes a protein of 55kDa, identified as Cluster of Differentiation 14 (also known lipopolysaccharide receptor or LPSR). CD14 is expressed strongly on monocytes and macrophage and weakly on the surface of neutrophils. It is anchored to cells by linkage to glycosylphosphatidylinositol (GPI) and functions as a high affinity receptor for complexes of LPS and LPS binding protein (LBP). Soluble CD14, also binding to LPS, acts at physiological concentration as an LPS agonist and has, at higher concentrations, an LPS antagonizing effect in cell activation.

Application Notes

Variations in protocols, secondaries and substrates may require the CD14 antibody to be titered up or down for optimal performance.

Immunogen

A human recombinant partial protein (within amino acids 25-148) was used as immunogen for this CD14 antibody.

Storage

CD14 antibody with azide can be stored at 2-8oC. The azide-free format should be aliquoted and stored at -20oC or colder.

Cross
Bulk Quote Request Form
Name*:
Organization*:
Email*:
Phone Number*:
Catalog No.*:
Comments and Specifics(amount, formulation, etc.)*:
Validation code: Captchapackage Image


Can't read the image? click here to refresh.
    *required field

Your bulk quote request has been submitted successfully!

Please contact us if you have any questions.