- Tel: 858.663.9055
- 
									 Email: info@nsjbio.com Email: info@nsjbio.com
- Tel: 858.663.9055
- Email: info@nsjbio.com
 Email: info@nsjbio.com
Email: info@nsjbio.com
								Related Products
| 
 | 
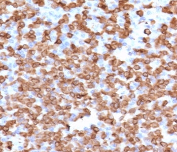
Integrin ITGAM/ITGB2/CD11b/MAC-1 is implicated in various adhesive interactions of monocytes, macrophages and granulocytes as well as in mediating the uptake of complement-coated particles and pathogens. [UniProt]
The stated application concentrations are suggested starting points. Titration of the CD11b antibody may be required due to differences in protocols and secondary/substrate sensitivity.
Amino acids 941-1074 were used as the immunogen for this CD11b antibody.
Store the CD11b antibody at 2-8oC (with azide) or aliquot and store at -20oC or colder (without azide).
 
Your bulk quote request has been submitted successfully!
Please contact us if you have any questions.