• Tel: 858.663.9055
  • SeparatorEmail: info@nsjbio.com
  • Tel: 858.663.9055
  • Email: info@nsjbio.com
Home >> Antibodies >> CCNB1 Antibody / Cyclin B1

CCNB1 Antibody / Cyclin B1 [clone EOG-3] (RQ5432)

  Catalog No Formulation Size Price (USD)  
Image RQ5432 Antibody in PBS with 0.02% sodium azide, 50% glycerol and 0.4-0.5mg/ml BSA 100 ul 449
Microvalidated Rab Mono Image
Bulk quote request
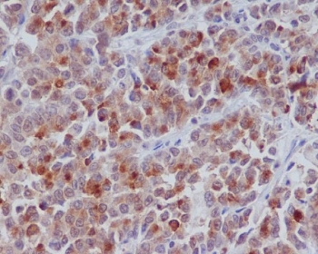
IHC staining of FFPE human colon cancer with CCNB1 antibody. HIER: boil tissue sections in pH6, 10mM citrate buffer, for 10-20 min and allow to cool before testing.
Western blot testing of human HeLa cell lysate with CCNB1 antibody. Predicted molecular weight: 48-60 kDa.
Availability 1-2 weeks
Species Reactivity Human
Format Purified
Host Rabbit
Clonality Rabbit Monoclonal
Isotype Rabbit IgG
Clone Name EOG-3
Purity Affinity purified
UniProt P14635
Localization Cytoplasmic, nuclear
Applications Western Blot : 1:500-1:2000
Immunohistochemistry (FFPE) : 1:50-1:200
Limitations This CCNB1 antibody is available for research use only.
Review this product on BioCompare and get a $20 Amazon gift card

Related Products

Description

The protein encoded by the CCNB1 gene is a regulatory protein involved in mitosis. The gene product complexes with p34(cdc2) to form the maturation-promoting factor (MPF). The encoded protein is necessary for proper control of the G2/M transition phase of the cell cycle. [RefSeq]

Application Notes

Optimal dilution of the CCNB1 antibody should be determined by the researcher.

Immunogen

A synthetic peptide specific to human Cyclin B1 / CCNB1 was used as the immunogen for the CCNB1 antibody.

Storage

Store the CCNB1 antibody at -20oC.

Cross
Bulk Quote Request Form
Name*:
Organization*:
Email*:
Phone Number*:
Catalog No.*:
Comments and Specifics(amount, formulation, etc.)*:
Validation code: Captchapackage Image


Can't read the image? click here to refresh.
    *required field

Your bulk quote request has been submitted successfully!

Please contact us if you have any questions.