• Tel: 858.663.9055
  • SeparatorEmail: info@nsjbio.com
  • Tel: 858.663.9055
  • Email: info@nsjbio.com
Home >> Antibodies >> Caspase-6 Antibody

Caspase-6 Antibody (R30512)

  Catalog No Formulation Size Price (USD)  
Image R30512 0.5mg/ml if reconstituted with 0.2ml sterile DI water 100 ug 449
Bulk quote request
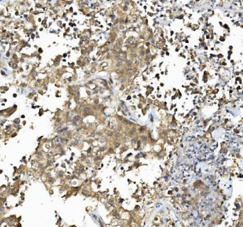
IHC staining of FFPE human colorectal adenocarcinoma tissue with Caspase-6 antibody. HIER: boil tissue sections in pH8 EDTA for 20 min and allow to cool before testing.
IHC staining of FFPE human pancreatic cancer tissue with Caspase-6 antibody. HIER: boil tissue sections in pH8 EDTA for 20 min and allow to cool before testing.
Western blot testing of human Jurkat cell lysate with Caspase-6 antibody. Predicted molecular weight: ~33 kDa (precursor).
Flow cytometry testing of human SiHa cells with Caspase-6 antibody at 1ug/million cells (blocked with goat sera); Red=cells alone, Green=isotype control, Blue= Caspase-6 antibody.
Availability 1-3 business days
Species Reactivity Human
Format Antigen affinity purified
Host Rabbit
Clonality Polyclonal (rabbit origin)
Isotype Rabbit IgG
Purity Antigen affinity
Buffer Lyophilized from 1X PBS with 2% Trehalose
UniProt P55212
Localization Cytoplasmic
Applications Western Blot : 0.5-1ug/ml
Immunohistochemistry (FFPE) : 2-5ug/ml
Flow Cytometry : 1-3ug/million cells
Limitations This Caspase-6 antibody is available for research use only.
Review this product on BioCompare and get a $20 Amazon gift card

Related Products

  • Applications : WB, IHC-P, IHC-F
    Reactivity : Mouse, Rat
  • Applications : WB, IHC, ELISA
    Reactivity : Human, Mouse
    Pred. Reactivity : Bovine, Rat
  • Applications : WB, IHC, ELISA
    Reactivity : Human
  • Applications : WB, ELISA (peptide)
    Reactivity : Human
    Pred. Reactivity : Mouse, Rat, Dog, Pig, Cow
  • Applications : WB, ELISA (peptide)
    Reactivity : Human
  • Applications : WB
    Reactivity : Mouse, Rat
    Pred. Reactivity : Human

Description

Caspase-6 is an enzyme that in humans is encoded by the CASP6 gene. This gene encodes a protein that is a member of the cysteine-aspartic acid protease family. Using radiation hybrid mapping, the CASP6 gene was localized to human chromosome 4q25-q26. It functions as a downstream enzyme in the caspase activation cascade, and can cleave Lamin A to its signature apoptotic fragment.

Application Notes

The stated application concentrations are suggested starting points. Titration of the Caspase-6 antibody may be required due to differences in protocols and secondary/substrate sensitivity.

Immunogen

Amino acids 24-44 (AFYKREMFDPAEKYKMDHRRR-human) were used as the immunogen for this Caspase-6 antibody. This sequence is from the large subunit.

Storage

After reconstitution, the Caspase-6 antibody can be stored for up to one month at 4oC. For long-term, aliquot and store at -20oC. Avoid repeated freezing and thawing.

Cross
Bulk Quote Request Form
Name*:
Organization*:
Email*:
Phone Number*:
Catalog No.*:
Comments and Specifics(amount, formulation, etc.)*:
Validation code: Captchapackage Image


Can't read the image? click here to refresh.
    *required field

Your bulk quote request has been submitted successfully!

Please contact us if you have any questions.