• Tel: 858.663.9055
  • SeparatorEmail: info@nsjbio.com
  • Tel: 858.663.9055
  • Email: info@nsjbio.com
Home >> Antibodies >> CAPG Antibody

CAPG Antibody (R34356)

  Catalog No Formulation Size Price (USD)  
Image R34356-100UG 0.5 mg/ml in 1X TBS, pH7.3, with 0.5% BSA (US sourced) and 0.02% sodium azide 100 ug 475
Bulk quote request
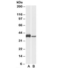
Western blot testing of U937 [A] and human spleen [B] lysates with CAPG antibody at 0.3ug/ml. Predicted molecular weight: ~38kDa.
Western blot testing of peripheral blood lymphocyte lysate with CAPG antibody at 0.3ug/ml (Lane A: cat # R34825 and Lane B: cat # 34356). Predicted molecular weight: ~38kDa.
Western blot of mouse (A) and rat spleen (B) lysates with CAPG antibody at 0.1ug/ml. Predicted molecular weight: ~38kDa.
Western blot of pig spleen lysate with CAPG antibody at 0.3ug/ml.. Predicted molecular weight: ~38kDa.
Availability 1-3 business days
Species Reactivity Human, Mouse, Rat, Pig
Predicted Reactivity Dog
Format Antigen affinity purified
Host Goat
Clonality Polyclonal (goat origin)
Isotype Goat Ig
Purity Antigen affinity
Gene ID 822
Applications Western Blot : 0.3-1ug/ml
ELISA (peptide) LOD : 1:128000
Limitations This CAPG antibody is available for research use only.
Review this product on BioCompare and get a $20 Amazon gift card

Related Products

  • Applications : WB, ELISA (peptide)
    Reactivity : Human
    Pred. Reactivity : Dog

Description

Additional name(s) for this target protein: Capping protein, gelsolin-like

Application Notes

Optimal dilution of the CAPG antibody should be determined by the researcher.

1. This CAPG antibody is specific for isoform 1.

Immunogen

Amino acids KAQVEIVTDGEEP were used as the immunogen for this CAPG antibody.

Storage

Aliquot and store the CAPG antibody at -20oC.

Cross
Bulk Quote Request Form
Name*:
Organization*:
Email*:
Phone Number*:
Catalog No.*:
Comments and Specifics(amount, formulation, etc.)*:
Validation code: Captchapackage Image


Can't read the image? click here to refresh.
    *required field

Your bulk quote request has been submitted successfully!

Please contact us if you have any questions.