• Tel: 858.663.9055
  • SeparatorEmail: info@nsjbio.com
  • Tel: 858.663.9055
  • Email: info@nsjbio.com
Home >> Antibodies >> CAMK II alpha Antibody / CAMK2A

CAMK II alpha Antibody / CAMK2A [clone AAFF-3] (RQ8916)

  Catalog No Formulation Size Price (USD)  
Image RQ8916 Antibody in PBS with 0.02% sodium azide, 50% glycerol and 0.4-0.5mg/ml BSA 100 ul 449
Microvalidated Recrabbitmono
Bulk quote request
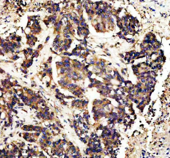
IHC staining of FFPE human colon cancer tissue with CAMK II alpha antibody, HRP-secondary and DAB substrate. HIER: boil tissue sections in pH8 EDTA for 20 min and allow to cool before testing.
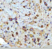
IHC staining of FFPE rat brain tissue with CAMK II alpha antibody, HRP-secondary and DAB substrate. HIER: boil tissue sections in pH8 EDTA for 20 min and allow to cool before testing.
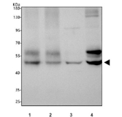
Western blot testing of 1) rat hippocampus, 2) rat brain, 3) rat C6 and 4) mouse brain tissue lysate with CAMK II alpha antibody. Predicted molecular weight ~54 kDa. An additional ~65 kDa band is often observed.
Availability 1-3 days
Species Reactivity Human, Mouse, Rat
Format Purified
Host Rabbit
Clonality Recombinant Rabbit Monoclonal
Isotype Rabbit IgG
Clone Name AAFF-3
Purity Affinity chromatography
UniProt Q9UQM7
Applications Western Blot : 1:1000
Immunohistochemistry (FFPE) : 1:50
Limitations This CAMK II alpha antibody is available for research use only.
Review this product on BioCompare and get a $20 Amazon gift card

Related Products

Description

CAMK II alpha (CAMK2A) is a member of the calcium/calmodulin-dependent protein kinase II family, which plays a central role in calcium signaling. CAMK II alpha is highly expressed in the brain and is critical for regulating synaptic plasticity, memory formation, and long-term potentiation. A CAMK II alpha antibody is widely used to investigate these neuronal processes.

The kinase functions by phosphorylating a variety of substrates involved in neurotransmission, cytoskeletal organization, and gene expression. Dysregulation of CAMK II alpha has been linked to neurological disorders, learning deficits, and psychiatric conditions. Employing a CAMK II alpha antibody enables detailed study of its function in both normal physiology and disease.

NSJ Bioreagents offers a high-quality CAMK II alpha antibody validated for applications such as western blot, immunohistochemistry, and immunofluorescence. Using a CAMK II alpha antibody ensures sensitive detection and reproducibility in studies of calcium signaling, synaptic activity, and brain research.

Application Notes

Optimal dilution of the CAMK II alpha antibody should be determined by the researcher.

Immunogen

A peptide sequence specific to CAMK II alpha protein was used as the immunogen for the CAMK II alpha antibody.

Storage

After reconstitution, the CAMK II alpha antibody can be stored for up to one month at 4oC. For long-term, aliquot and store at -20oC. Avoid repeated freezing and thawing.

Cross
Bulk Quote Request Form
Name*:
Organization*:
Email*:
Phone Number*:
Catalog No.*:
Comments and Specifics(amount, formulation, etc.)*:
Validation code: Captchapackage Image


Can't read the image? click here to refresh.
    *required field

Your bulk quote request has been submitted successfully!

Please contact us if you have any questions.