• Tel: 858.663.9055
  • SeparatorEmail: info@nsjbio.com
  • Tel: 858.663.9055
  • Email: info@nsjbio.com
Home >> Antibodies >> Calbindin 1 Antibody / CALB1

Calbindin 1 Antibody / CALB1 (R34664)

  Catalog No Formulation Size Price (USD)  
Image R34664-100UG 0.5 mg/ml in 1X TBS, pH7.3, with 0.5% BSA (US sourced) and 0.02% sodium azide 100 ug 475
Bulk quote request
Western blot testing of human cerebellum lysate with Calbindin 1 antibody at 0.03ug/ml. Predicted molecular weight: ~30 kDa, routinely observed at 27-28 kDa.
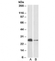
Western blot of mouse (A) and rat (B) brain lysates with Calbindin 1 antibody at 0.1ug/ml. Predicted molecular weight: ~30 kDa, routinely observed at 27-28 kDa.
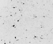
IHC testing of frozen human hypothalamus with Calbindin 1 antibody at 0.1ug/ml. A biotin secondary followed by SAv-HRP and DAB were used for the staining.
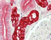
IHC staining of FFPE human kidney with Calbindin 1 antibody at 5ug/ml. HIER: boil tissue sections in pH6, 10mM citrate buffer, for 10-20 min and allow to cool before testing.
Availability 1-3 business days
Species Reactivity Human, Mouse, Rat
Predicted Reactivity Cow, Dog, Pig
Format Antigen affinity purified
Host Goat
Clonality Polyclonal (goat origin)
Isotype Goat Ig
Purity Antigen affinity
Gene ID 793
Applications Western Blot : 0.03-0.1ug/ml
IHC (Frozen) : 0.1-0.3ug/ml
IHC (FFPE) : 5-10ug/ml
ELISA (peptide) LOD : 1:128000
Limitations This Calbindin 1 antibody is available for research use only.
Review this product on BioCompare and get a $20 Amazon gift card

Related Products

Description

Additional name(s) for this target protein: Calbindin D28, vitamin D-dependent calcium-binding protein; CALB1; D-28K

Application Notes

Optimal dilution of the Calbindin 1 antibody should be determined by the researcher.

Immunogen

Amino acids KTFVDQYGQRDDGK were used as the immunogen for this Calbindin 1 antibody.

Storage

Aliquot and store the Calbindin 1 antibody at -20oC.

Cross
Bulk Quote Request Form
Name*:
Organization*:
Email*:
Phone Number*:
Catalog No.*:
Comments and Specifics(amount, formulation, etc.)*:
Validation code: Captchapackage Image


Can't read the image? click here to refresh.
    *required field

Your bulk quote request has been submitted successfully!

Please contact us if you have any questions.