• Tel: 858.663.9055
  • SeparatorEmail: info@nsjbio.com
  • Tel: 858.663.9055
  • Email: info@nsjbio.com
Home >> Antibodies >> C Reactive Protein Antibody / CRP

C Reactive Protein Antibody / CRP [clone CFI-3] (RQ5005)

  Catalog No Formulation Size Price (USD)  
Image RQ5005 Antibody in PBS with 0.02% sodium azide, 50% glycerol and 0.4-0.5mg/ml BSA 100 ul 449
Microvalidated Rab Mono Image
Bulk quote request
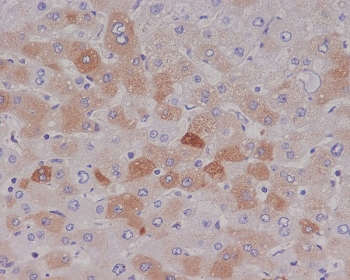
IHC staining of FFPE human liver with C Reactive Protein antibody. HIER: boil tissue sections in pH6, 10mM citrate buffer, for 10-20 min and allow to cool before testing.
Western blot testing of lysate from human 293 cells treated with Etoposide, with C Reactive Protein antibody. Predicted molecular weight ~26 kDa.
Availability 1-2 weeks
Species Reactivity Human
Format Purified
Host Rabbit
Clonality Rabbit Monoclonal
Isotype Rabbit IgG
Clone Name CFI-3
Purity Affinity purified
UniProt P02741
Applications Western Blot : 1:1000-1:2000
Immunohistochemistry (FFPE) : 1:500-1:1000
Limitations This C Reactive Protein antibody is available for research use only.
Review this product on BioCompare and get a $20 Amazon gift card

Related Products

Description

The protein encoded by the CRP gene belongs to the pentaxin family. It is involved in several host defense related functions based on its ability to recognize foreign pathogens and damaged cells of the host and to initiate their elimination by interacting with humoral and cellular effector systems in the blood. Consequently, the level of this protein in plasma increases greatly during acute phase response to tissue injury, infection, or other inflammatory stimuli. [RefSeq]

Application Notes

Optimal dilution of the C Reactive Protein antibody should be determined by the researcher.

Immunogen

A synthetic peptide specific to human C Reactive Protein / CRP was used as the immunogen for the C Reactive Protein antibody.

Storage

Store the C Reactive Protein antibody at -20oC.

Cross
Bulk Quote Request Form
Name*:
Organization*:
Email*:
Phone Number*:
Catalog No.*:
Comments and Specifics(amount, formulation, etc.)*:
Validation code: Captchapackage Image


Can't read the image? click here to refresh.
    *required field

Your bulk quote request has been submitted successfully!

Please contact us if you have any questions.