• Tel: 858.663.9055
  • SeparatorEmail: info@nsjbio.com
  • Tel: 858.663.9055
  • Email: info@nsjbio.com
Home >> Antibodies >> BSEP Antibody / Bile Salt Export Pump / ABCB11

BSEP Antibody / Bile Salt Export Pump / ABCB11 [clone BSEP/7534] (V4921)

  Catalog No Formulation Size Price (USD)  
Image V4921-100UG 0.2 mg/ml in 1X PBS with 0.1 mg/ml BSA (US sourced), 0.05% sodium azide 100 ug 559
Image
V4921-20UG 0.2 mg/ml in 1X PBS with 0.1 mg/ml BSA (US sourced), 0.05% sodium azide 20 ug 259
Image
V4921SAF-100UG 1 mg/ml in 1X PBS; BSA free, sodium azide free 100 ug 559
Bulk quote request
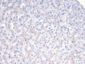
IHC staining of FFPE human liver tissue with BSEP antibody (clone BSEP/7534). HIER: boil tissue sections in pH 9 10mM Tris with 1mM EDTA for 20 min and allow to cool before testing.
SDS-PAGE analysis of purified, BSA-free BSEP antibody (clone BSEP/7534) as confirmation of integrity and purity.
Availability 1-3 business days
Species Reactivity Human
Format Purified
Host Mouse
Clonality Monoclonal (mouse origin)
Isotype Mouse IgG
Clone Name BSEP/7534
Purity Protein A/G affinity
UniProt O95342
Localization Membrane, cytoplasm
Applications Western Blot : 1-2ug/ml
Immunohistochemistry (FFPE) : 1-2ug/ml for 30 min at RT
Limitations This BSEP antibody is available for research use only.
Review this product on BioCompare and get a $20 Amazon gift card

Related Products

Description

ATP-binding cassette (ABC) transporters are an evolutionarily conserved family of proteins that catalyze the transport of molecules across extra- and intracellular membranes through the energy of ATP hydrolysis. ABC genes comprise seven subfamilies, designated ABC1, Mdr/TAP, MRP, ALD, OABP, GCN20 and White. The secretion of bile salt molecules from blood into bile is a major driving force for bile formation. Bile salt export pump (BSEP) is a member of the Mdr/TAP subfamily of ABC transporters that mediates the transport of bile acids across the hepatocyte canalicular membrane and regulates bile acid-dependent bile secretion. BSEP contains putative phosphorylation sites for protein kinase A, protein kinase C (PKC) and Ca2+-calmodulin dependent kinase II, whose regulation may be dependent on bile salt concentration.

Application Notes

Optimal dilution of the BSEP antibody should be determined by the researcher.

Immunogen

A recombinant partial protein sequence (within amino acids 600-800) from the human protein was used as the immunogen for the BSEP antibody.

Storage

Aliquot the BSEP antibody and store frozen at -20oC or colder. Avoid repeated freeze-thaw cycles.

Cross
Bulk Quote Request Form
Name*:
Organization*:
Email*:
Phone Number*:
Catalog No.*:
Comments and Specifics(amount, formulation, etc.)*:
Validation code: Captchapackage Image


Can't read the image? click here to refresh.
    *required field

Your bulk quote request has been submitted successfully!

Please contact us if you have any questions.