• Tel: 858.663.9055
  • SeparatorEmail: info@nsjbio.com
  • Tel: 858.663.9055
  • Email: info@nsjbio.com
Home >> Antibodies >> BOULE Antibody

BOULE Antibody (R35388)

  Catalog No Formulation Size Price (USD)  
Image R35388-100UG 0.5 mg/ml in 1X TBS, pH7.3, with 0.5% BSA (US sourced) and 0.02% sodium azide 100 ug 475
Bulk quote request
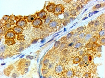
IHC testing of FFPE human testis with BOULE antibody at 4ug/ml. HIER: steamed with pH6 citrate buffer, HRP-staining.
Availability 1-3 business days
Species Reactivity Human
Predicted Reactivity Cow, Dog
Format Antigen affinity purified
Host Goat
Clonality Polyclonal (goat origin)
Isotype Goat Ig
Purity Antigen affinity
Gene ID 66037
Applications Immunohistochemistry (FFPE) : 4-6ug/ml
ELISA (peptide) LOD : 1:32000
Limitations This BOULE antibody is available for research use only.
Review this product on BioCompare and get a $20 Amazon gift card

Description

Additional name(s) for this target protein: BOLL

Application Notes

Optimal dilution of the BOULE antibody should be determined by the researcher.

Immunogen

Amino acids QPEPIKTVWSIHY were used as the immunogen for this BOULE antibody.

Storage

Aliquot and store the BOULE antibody at -20oC.

Cross
Bulk Quote Request Form
Name*:
Organization*:
Email*:
Phone Number*:
Catalog No.*:
Comments and Specifics(amount, formulation, etc.)*:
Validation code: Captchapackage Image


Can't read the image? click here to refresh.
    *required field

Your bulk quote request has been submitted successfully!

Please contact us if you have any questions.