• Tel: 858.663.9055
  • SeparatorEmail: info@nsjbio.com
  • Tel: 858.663.9055
  • Email: info@nsjbio.com
Home >> Antibodies >> BMP5 Antibody

BMP5 Antibody (R32013)

  Catalog No Formulation Size Price (USD)  
Image R32013 0.5mg/ml if reconstituted with 0.2ml sterile DI water 100 ug 449
Bulk quote request
Western blot testing of 1) rat liver, 2) mouse liver, 3) human A549 lysate with BMP5 antibody. Expected/observed molecular weight ~51 kDa.
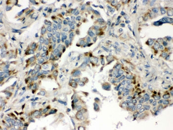
IHC testing of FFPE human lung cancer tissue with BMP5 antibody. HIER: Boil the paraffin sections in pH 6, 10mM citrate buffer for 20 minutes and allow to cool prior to staining.
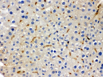
IHC testing of FFPE mouse liver with BMP5 antibody. HIER: Boil the paraffin sections in pH 6, 10mM citrate buffer for 20 minutes and allow to cool prior to staining.
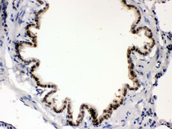
IHC testing of FFPE rat lung with BMP5 antibody. HIER: Boil the paraffin sections in pH 6, 10mM citrate buffer for 20 minutes and allow to cool prior to staining.
Flow cytometry testing of human U-2 OS cells with BMP5 antibody at 1ug/10^6 cells (blocked with goat sera); Red=cells alone, Green=isotype control, Blue=BMP5 antibody.
Availability 1-3 business days
Species Reactivity Human, Mouse, Rat
Format Antigen affinity purified
Host Rabbit
Clonality Polyclonal (rabbit origin)
Isotype Rabbit IgG
Purity Antigen affinity
Buffer Lyophilized from 1X PBS with 2.5% BSA and 0.025% sodium azide
UniProt P22003
Localization Cytoplasmic, membrane
Applications Western Blot : 0.1-0.5ug/ml
IHC (FFPE) : 0.5-1ug/ml
Flow Cytometry : 1-3ug/10^6 cells
ELISA : 0.1-0.5ug/ml (human protein tested); request BSA-free format for coating
Limitations This BMP5 antibody is available for research use only.
Review this product on BioCompare and get a $20 Amazon gift card

Related Products

Description

Bone morphogenetic protein 5 is a protein that in humans is encoded by the BMP5 gene. This gene encodes a member of the bone morphogenetic protein family which is part of the transforming growth factor-beta superfamily. The superfamily includes large families of growth and differentiation factors. Bone morphogenetic proteins were originally identified by an ability of demineralized bone extract to induce endochondral osteogenesis in vivo in an extraskeletal site. These proteins are synthesized as prepropeptides, cleaved, and then processed into dimeric proteins. And this protein may act as an important signaling molecule within the trabecular meshwork and optic nerve head, and may play a potential role in glaucoma pathogenesis. This gene is differentially regulated during the formation of various tumors.

Application Notes

Optimal dilution of the BMP5 antibody should be determined by the researcher.

Immunogen

Amino acids HQDSSRMSSVGDYNTSEQKQACKKHELYVSFRDL of human BMP5 were used as the immunogen for the BMP5 antibody.

Storage

After reconstitution, the BMP5 antibody can be stored for up to one month at 4oC. For long-term, aliquot and store at -20oC. Avoid repeated freezing and thawing.

Cross
Bulk Quote Request Form
Name*:
Organization*:
Email*:
Phone Number*:
Catalog No.*:
Comments and Specifics(amount, formulation, etc.)*:
Validation code: Captchapackage Image


Can't read the image? click here to refresh.
    *required field

Your bulk quote request has been submitted successfully!

Please contact us if you have any questions.