• Tel: 858.663.9055
  • SeparatorEmail: info@nsjbio.com
  • Tel: 858.663.9055
  • Email: info@nsjbio.com
Home >> Antibodies >> BMP4 Antibody

BMP4 Antibody (F45385)

  Catalog No Formulation Size Price (USD)  
Image F45385-0.4ML In 1X PBS, pH 7.4, with 0.09% sodium azide 0.4 ml 439
Image
F45385-0.08ML In 1X PBS, pH 7.4, with 0.09% sodium azide 0.08 ml 205
Bulk quote request
BMP4 antibody western blot analysis in MDA-MB435 lysate. Predicted molecular weight: 54 kDa (precursor), 44 kDa (cleaved dimer), 23 kDa (cleaved monomer).
Western blot analysis of BMP4 antibody and 293 cell lysate (2 ug/lane) either nontransfected (Lane 1) or transiently transfected (2) with the BMP4 gene.
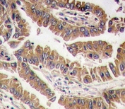
IHC analysis of FFPE human lung carcinoma tissue stained with BMP4 antibody
Availability 1-3 business days
Species Reactivity Human
Predicted Reactivity Bovine, Mouse, Rabbit
Format Purified
Host Rabbit
Clonality Polyclonal (rabbit origin)
Isotype Rabbit Ig
Purity Purified
UniProt P12644
Localization Cytoplasmic, membrane
Applications Western Blot : 1:1000
IHC (Paraffin) : 1:10-1:50
Limitations This BMP4 antibody is available for research use only.
Review this product on BioCompare and get a $20 Amazon gift card

Related Products

Description

Bmp4 is a member of the bone morphogenetic protein family which is part of the transforming growth factor-beta superfamily. The superfamily includes large families of growth and differentiation factors. Bone morphogenetic proteins were originally identified by an ability of demineralized bone extract to induce endochondral osteogenesis in vivo in an extraskeletal site. This particular family member plays an important role in the onset of endochondral bone formation in humans, and a reduction in expression has been associated with a variety of bone diseases, including the heritable disorder Fibrodysplasia Ossificans Progressiva. Alternative splicing in the 5' untranslated region of this gene has been described and three variants are described, all encoding an identical protein.

Application Notes

Titration of the BMP4 antibody may be required due to differences in protocols and secondary/substrate sensitivity.

Immunogen

A portion of amino acids 5-34 from the human protein was used as the immunogen for this BMP4 antibody.

Storage

Aliquot the BMP4 antibody and store frozen at -20oC or colder. Avoid repeated freeze-thaw cycles.

Cross
Bulk Quote Request Form
Name*:
Organization*:
Email*:
Phone Number*:
Catalog No.*:
Comments and Specifics(amount, formulation, etc.)*:
Validation code: Captchapackage Image


Can't read the image? click here to refresh.
    *required field

Your bulk quote request has been submitted successfully!

Please contact us if you have any questions.