• Tel: 858.663.9055
  • SeparatorEmail: info@nsjbio.com
  • Tel: 858.663.9055
  • Email: info@nsjbio.com
Home >> Antibodies >> bFGF Antibody / Basic FGF / FGF2

bFGF Antibody / Basic FGF / FGF2 [clone FGF2/7364] (V5062)

  Catalog No Formulation Size Price (USD)  
Image V5062-100UG 0.2 mg/ml in 1X PBS with 0.1 mg/ml BSA (US sourced), 0.05% sodium azide 100 ug 559
Image
V5062-20UG 0.2 mg/ml in 1X PBS with 0.1 mg/ml BSA (US sourced), 0.05% sodium azide 20 ug 259
Image
V5062SAF-100UG 1 mg/ml in 1X PBS; BSA free, sodium azide free 100 ug 559
Bulk quote request
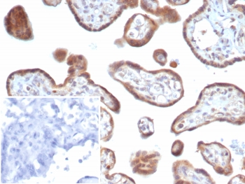
IHC staining of FFPE human placental tissue with bFGF antibody (clone FGF2/7364). Inset: PBS used in place of primary Ab (secondary Ab negative control). HIER: boil tissue sections in pH 9 10mM Tris with 1mM EDTA for 20 min and allow to cool before testing.
SDS-PAGE analysis of purified, BSA-free bFGF antibody (clone FGF2/7364) as confirmation of integrity and purity.
Availability 1-3 business days
Species Reactivity Human
Format Purified
Host Mouse
Clonality Monoclonal (mouse origin)
Isotype Mouse IgG2, kappa
Clone Name FGF2/7364
Purity Protein A/G affinity
UniProt P09038
Localization Nucleus, Cytoplasm
Applications Immunohistochemistry (FFPE) : 1-2ug/ml for 30 min at RT
Limitations This bFGF antibody is available for research use only.
Review this product on BioCompare and get a $20 Amazon gift card

Related Products

Description

Fibroblast growth factor-1 (FGF-1), also designated acidic FGF, and fibroblast growth factor-2 (FGF-2), also designated basic FGF, are members of a family of growth factors that stimulate proliferation of cells of mesenchymal, epithelial and neuroectodermal origin. Additional members of the FGF family include the oncogenes FGF-3 (Int2) and FGF-4 (hst/Kaposi), FGF-5, FGF-6, FGF-7 (KGF), FGF-8 (AIGF), FGF-9 (GAF) and FGF-10-FGF-23. Members of the FGF family share 30-55% amino acid sequence identity and similar gene structure, and are capable of transforming cultured cells when overexpressed in transfected cells. Cellular receptors for FGFs are members of a second multigene family including four tyrosine kinases, designated Flg (FGFR-1), Bek (FGFR-L), TKF and FGFR-3.

Application Notes

Optimal dilution of the bFGF antibody should be determined by the researcher.

Immunogen

A recombinant partial protein sequence (within amino acids 7-96) from the human protein was used as the immunogen for the bFGF antibody.

Storage

Aliquot the bFGF antibody and store frozen at -20oC or colder. Avoid repeated freeze-thaw cycles.

Cross
Bulk Quote Request Form
Name*:
Organization*:
Email*:
Phone Number*:
Catalog No.*:
Comments and Specifics(amount, formulation, etc.)*:
Validation code: Captchapackage Image


Can't read the image? click here to refresh.
    *required field

Your bulk quote request has been submitted successfully!

Please contact us if you have any questions.