• Tel: 858.663.9055
  • SeparatorEmail: info@nsjbio.com
  • Tel: 858.663.9055
  • Email: info@nsjbio.com
Home >> Antibodies >> Beta Tubulin Antibody / TUBB

Beta Tubulin Antibody / TUBB [clone BI-20] (RQ5179)

  Catalog No Formulation Size Price (USD)  
Image RQ5179 Antibody in PBS with 0.02% sodium azide, 50% glycerol and 0.4-0.5mg/ml BSA 100 ul 449
Microvalidated Rab Mono Image
Bulk quote request
IF/ICC staining of mouse NIH3T3 cells with Beta Tubulin antibody (red), PCNA antibody (green) and DAPI nuclear stain (blue).
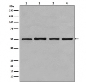
Western blot testing of 1) human MCF7, 2) monkey COS-1, 3) human Jurkat and 4) human HeLa lysate with Beta Tubulin antibody. Predicted molecular weight: 50-55 kDa.
IHC staining of FFPE human uterine cancer with Beta Tubulin antibody. HIER: boil tissue sections in pH6, 10mM citrate buffer, for 10-20 min and allow to cool before testing.
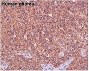
IHC staining of FFPE human glioma with Beta Tubulin antibody. HIER: boil tissue sections in pH6, 10mM citrate buffer, for 10-20 min and allow to cool before testing.
IHC staining of FFPE mouse kidney with Beta Tubulin antibody. HIER: boil tissue sections in pH6, 10mM citrate buffer, for 10-20 min and allow to cool before testing.
IHC staining of FFPE rat brain with Beta Tubulin antibody. HIER: boil tissue sections in pH6, 10mM citrate buffer, for 10-20 min and allow to cool before testing.
Availability 1-2 weeks
Species Reactivity Human, Mouse, Rat
Format Purified
Host Rabbit
Clonality Rabbit Monoclonal
Isotype Rabbit IgG
Clone Name BI-20
Purity Affinity purified
UniProt P07437
Applications Western Blot : 1:3000-1:10000
Immunohistochemistry (FFPE) : 1:50-1:200
Immunofluorescence/Immunocytochemistry : 1:50-1:200
Limitations This Beta Tubulin antibody is available for research use only.
Review this product on BioCompare and get a $20 Amazon gift card

Related Products

  • Applications : WB, IHC, IF, ELISA
    Reactivity : Human, Mouse
  • Applications : WB, IHC, IF, ELISA
    Reactivity : Human, Mouse, Rat
    Pred. Reactivity : Bovine, Chicken, Hamster, Pig, Rat, Xenopus
  • Applications : WB
    Reactivity : Human, Mouse, Rat, Primate, Dog
  • Applications : WB, ELISA
    Reactivity : Human
    Pred. Reactivity : Bovine, Chicken, Mouse, Pig, Primate, Rat, Xenopus
  • Applications : IF, WB, IHC, ELISA
    Reactivity : Human
    Pred. Reactivity : Mouse, Rat, Bovine, Pig, Primate, Chicken, Xenopus
  • Applications : WB, IHC, ELISA
    Reactivity : Human
    Pred. Reactivity : Bovine, Chicken, Drosophila, Hamster, Mouse, Pig, Rat, Xenopus
  • Applications : WB, ELISA
    Reactivity : Human
  • Applications : WB, ELISA
    Reactivity : Human
    Pred. Reactivity : Bovine, Mouse, Primate
  • Applications : WB, ELISA
    Reactivity : Human
  • Applications : WB, ELISA
    Reactivity : Human
  • Applications : WB, IHC, FACS, ELISA
    Reactivity : Human
  • Applications : WB, IHC, FACS, ELISA
    Reactivity : Human, Mouse
    Pred. Reactivity : Bovine, Chicken, Primate, Rat
  • Applications : WB, IHC, ELISA
    Reactivity : Human
  • Applications : WB, ELISA (peptide)
    Reactivity : Human
    Pred. Reactivity : Cow, Mouse, Pig, Rat
  • Applications : WB, IHC-P, FACS
    Reactivity : Human, Mouse, Rat
  • Applications : WB, FACS
    Reactivity : Human
  • Applications : WB
    Reactivity : Mouse
    Pred. Reactivity : Bovine, C. elegans, Chicken, Drosophila, Hamster, Human, Primate, Rat, Xenopus

Description

The TUBB gene encodes a beta tubulin protein. This protein forms a dimer with alpha tubulin and acts as a structural component of microtubules. Mutations in this gene cause cortical dysplasia, complex, with other brain malformations 6. Alternative splicing results in multiple splice variants. There are multiple pseudogenes for this gene on chromosomes 1, 6, 7, 8, 9, and 13. [RefSeq]

Application Notes

Optimal dilution of the Beta Tubulin antibody should be determined by the researcher.

Immunogen

A synthetic peptide specific to human Beta Tubulin / TUBB was used as the immunogen for the Beta Tubulin antibody.

Storage

Store the Beta Tubulin antibody at -20oC.

Cross
Bulk Quote Request Form
Name*:
Organization*:
Email*:
Phone Number*:
Catalog No.*:
Comments and Specifics(amount, formulation, etc.)*:
Validation code: Captchapackage Image


Can't read the image? click here to refresh.
    *required field

Your bulk quote request has been submitted successfully!

Please contact us if you have any questions.