• Tel: 858.663.9055
  • SeparatorEmail: info@nsjbio.com
  • Tel: 858.663.9055
  • Email: info@nsjbio.com
Home >> Antibodies >> BCL11B Antibody

BCL11B Antibody (F41076)

  Catalog No Formulation Size Price (USD)  
Image F41076-0.4ML In 1X PBS, pH 7.4, with 0.09% sodium azide 0.4 ml 439
Image
F41076-0.08ML In 1X PBS, pH 7.4, with 0.09% sodium azide 0.08 ml 205
Bulk quote request
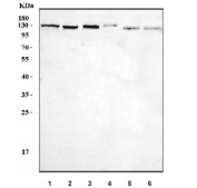
Western blot testing of human 1) Jurkat and 2) MOLT4 cell lysate with BCL11B antibody. Predicted molecular weight ~96 kDa but the modified forms of the protein can be observed at ~130 kDa.
Availability 1-3 business days
Species Reactivity Human
Predicted Reactivity Mouse
Format Antigen affinity purified
Host Rabbit
Clonality Polyclonal (rabbit origin)
Isotype Rabbit Ig
Purity Antigen affinity
UniProt Q9C0K0
Applications Western Blot : 1:1000
Limitations This BCL11B antibody is available for research use only.
Review this product on BioCompare and get a $20 Amazon gift card

Related Products

  • Applications : WB, Direct ELISA
    Reactivity : Human, Mouse, Rat
  • Applications : WB, IHC-P, IF, FACS, Direct ELISA
    Reactivity : Human, Rat

Description

This gene encodes a C2H2-type zinc finger protein and is closely related to BCL11A, a gene whose translocation may be associated with B-cell malignancies. The specific function of this gene has not yet been determined. Two alternatively spliced transcript variants, which encode distinct isoforms, have been reported.

Application Notes

Titration of the BCL11B antibody may be required due to differences in protocols and secondary/substrate sensitivity.

Immunogen

A portion of amino acids 307-334 from the human protein was used as the immunogen for this BCL11B antibody.

Storage

Aliquot the BCL11B antibody and store frozen at -20oC or colder. Avoid repeated freeze-thaw cycles.

Cross
Bulk Quote Request Form
Name*:
Organization*:
Email*:
Phone Number*:
Catalog No.*:
Comments and Specifics(amount, formulation, etc.)*:
Validation code: Captchapackage Image


Can't read the image? click here to refresh.
    *required field

Your bulk quote request has been submitted successfully!

Please contact us if you have any questions.