• Tel: 858.663.9055
  • SeparatorEmail: info@nsjbio.com
  • Tel: 858.663.9055
  • Email: info@nsjbio.com
Home >> Antibodies >> BAP31 Antibody

BAP31 Antibody (R35182)

  Catalog No Formulation Size Price (USD)  
Image R35182-100UG 0.5 mg/ml in 1X TBS, pH7.3, with 0.5% BSA (US sourced) and 0.02% sodium azide 100 ug 475
Bulk quote request
Western blot testing of human breast lysate with BAP31 antibody at 0.1ug/ml. Predicted molecular weight: ~28 kDa.
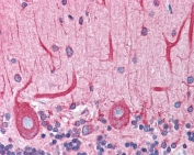
IHC testing of FFPE human cerebellum tissue with BAP31 antibody at 3.75ug/ml. Required HIER: steamed antigen retrieval with pH6 citrate buffer; AP-staining.
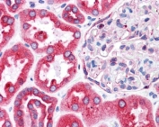
IHC testing of FFPE human kidney tissue with BAP31 antibody at 3.75ug/ml. Required HIER: steamed antigen retrieval with pH6 citrate buffer; AP-staining.
Availability 1-3 business days
Species Reactivity Human
Predicted Reactivity Dog, Pig, Cow
Format Antigen affinity purified
Host Goat
Clonality Polyclonal (goat origin)
Isotype Goat Ig
Purity Antigen affinity
Gene ID 10134
Localization Cytoplasmic
Applications Western Blot : 1-3ug/ml
IHC (FPPE) : 3.75ug/ml
ELISA (peptide) LOD : 1:32000
Limitations This BAP31 antibody is available for research use only.
Review this product on BioCompare and get a $20 Amazon gift card

Description

Additional name(s) for this target protein: B-cell receptor-associated protein 31; BCAP31

Application Notes

Optimal dilution of the BAP31 antibody should be determined by the researcher.

1. This BAP31 antibody is specific for isoforms a and b.

Immunogen

Amino acids QAAVDGPMDKKEE were used as the immunogen for this BAP31 antibody.

Storage

Aliquot and store the BAP31 antibody at -20oC.

Cross
Bulk Quote Request Form
Name*:
Organization*:
Email*:
Phone Number*:
Catalog No.*:
Comments and Specifics(amount, formulation, etc.)*:
Validation code: Captchapackage Image


Can't read the image? click here to refresh.
    *required field

Your bulk quote request has been submitted successfully!

Please contact us if you have any questions.