• Tel: 858.663.9055
  • SeparatorEmail: info@nsjbio.com
  • Tel: 858.663.9055
  • Email: info@nsjbio.com
Home >> Antibodies >> BAG3 Antibody

BAG3 Antibody (R36069)

  Catalog No Formulation Size Price (USD)  
Image R36069-100UG 0.5 mg/ml in 1X TBS, pH7.3, with 0.5% BSA (US sourced) and 0.02% sodium azide 100 ug 475
Bulk quote request
Western blot testing of human skeletal muscle lysate with BAG3 antibody at 0.1ug/ml. Predicted molecular weight ~62 kDa but can be observed at 75~80 kDa.
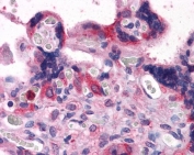
IHC testing of FFPE human placental tissue with BAG3 antibody at 3.75ug/ml. Required HIER: steamed antigen retrieval with pH6 citrate buffer; AP-staining.
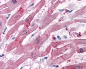
IHC testing of FFPE human heart tissue with BAG3 antibody at 3.75ug/ml. Required HIER: steamed antigen retrieval with pH6 citrate buffer; AP-staining.
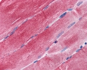
IHC testing of FFPE human skeletal muscle tissue with BAG3 antibody at 3.75ug/ml. Required HIER: steamed antigen retrieval with pH6 citrate buffer; AP-staining.
Availability 1-3 business days
Species Reactivity Human
Format Antigen affinity purified
Host Goat
Clonality Polyclonal (goat origin)
Isotype Goat Ig
Purity Antigen affinity
Gene ID 9531
Localization Cytoplasmic, some nuclear
Applications Western Blot : 0.1-1ug/ml
IHC (FFPE) : 3.75ug/ml
ELISA (peptide) LOD : 1:8000
Limitations This BAG3 antibody is available for research use only.
Review this product on BioCompare and get a $20 Amazon gift card

Related Products

  • Applications : WB
    Reactivity : Human
    Rab Mono Image
  • Applications : WB, IHC-P, ELISA (peptide)
    Reactivity : Human
  • Applications : WB, IHC-P
    Reactivity : Human

Description

Additional name(s) for this target protein: BCL2-associated athanogene 3

Application Notes

Optimal dilution of the BAG3 antibody should be determined by the researcher.

Immunogen

Amino acids SSMTDTPGNPAAP were used as the immunogen for this BAG3 antibody.

Storage

Aliquot and store the BAG3 antibody at -20oC.

Cross
Bulk Quote Request Form
Name*:
Organization*:
Email*:
Phone Number*:
Catalog No.*:
Comments and Specifics(amount, formulation, etc.)*:
Validation code: Captchapackage Image


Can't read the image? click here to refresh.
    *required field

Your bulk quote request has been submitted successfully!

Please contact us if you have any questions.