• Tel: 858.663.9055
  • SeparatorEmail: info@nsjbio.com
  • Tel: 858.663.9055
  • Email: info@nsjbio.com
Home >> Antibodies >> B2M Antibody / Beta-2 Microglobulin

B2M Antibody / Beta-2 Microglobulin [clone SPM617] (V2801)

  Catalog No Formulation Size Price (USD)  
Image V2801-100UG 0.2 mg/ml in 1X PBS with 0.1 mg/ml BSA (US sourced) and 0.05% sodium azide 100 ug 559
Image
V2801-20UG 0.2 mg/ml in 1X PBS with 0.1 mg/ml BSA (US sourced) and 0.05% sodium azide 20 ug 259
Image
V2801SAF-100UG 1 mg/ml in 1X PBS; BSA free, sodium azide free 100 ug 559
Image
V2801IHC-7ML Prediluted in 1X PBS with 0.1 mg/ml BSA (US sourced) and 0.05% sodium azide; *For IHC use only* 7 ml 559
Bulk quote request
Immunofluorescent staining of permeabilized human HeLa cells with B2M antibody (clone SPM617).
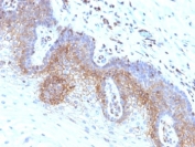
IHC: Formalin-fixed, paraffin-embedded human cervical carcinoma stained with B2M antibody (clone SPM617).
Flow cytometry testing of PFA-fixed human HeLa cells with B2M antibody (clone SPM617); Red=isotype control, Blue= B2M antibody.
Western blot testing of human 1) ThP-1 and 2) Raji cell lysate with B2M antibody (clone SPM617). Expected molecular weight: 12-14 kDa.
Availability 1-3 business days
Species Reactivity Human
Format Purified
Host Mouse
Clonality Monoclonal (mouse origin)
Isotype Mouse IgG1, kappa
Clone Name SPM617
Purity Protein G affinity chromatography
UniProt P61769
Localization Cytoplasmic
Applications Immunohistochemistry (FFPE) : 1-2ug/ml for 30 min at RT
Western Blot : 1-2ug/ml
Flow Cytometry : 1-2ug/million cells
Immunofluorescence : 1-2ug/ml
Limitations This B2M antibody is available for research use only.
Review this product on BioCompare and get a $20 Amazon gift card

Related Products

Description

Serum Beta-2 Microglobulin (B2M) levels are a reflection of cell turnover. Levels rise with fever, inflammation, and infection. Increased serum levels are also seen in B-cell malignancies and in renal failure and may indicate a worse prognosis for patients with early-stage Hodgkin's lymphoma.

Application Notes

Optimal dilution of the B2M antibody should be determined by the researcher.

1. Staining of formalin/paraffin tissues requires boiling tissue sections in pH 9 10mM Tris with 1mM EDTA for 10-20 min followed by cooling at RT for 20 min.
2. The prediluted format is supplied in a dropper bottle and is optimized for use in IHC. After epitope retrieval step (if required), drip mAb solution onto the tissue section and incubate at RT for 30 min.

Immunogen

Full length recombinant human protein was used as the immunogen for the B2M antibody.

Storage

Store the B2M antibody at 2-8oC (with azide) or aliquot and store at -20oC or colder (without azide).

Cross
Bulk Quote Request Form
Name*:
Organization*:
Email*:
Phone Number*:
Catalog No.*:
Comments and Specifics(amount, formulation, etc.)*:
Validation code: Captchapackage Image


Can't read the image? click here to refresh.
    *required field

Your bulk quote request has been submitted successfully!

Please contact us if you have any questions.