• Tel: 858.663.9055
  • SeparatorEmail: info@nsjbio.com
  • Tel: 858.663.9055
  • Email: info@nsjbio.com
Home >> Antibodies >> B2AR Antibody / Beta-2-Adrenergic receptor / ADRB2

B2AR Antibody / Beta-2-Adrenergic receptor / ADRB2 (F55107)

  Catalog No Formulation Size Price (USD)  
Image F55107-0.4ML In 1X PBS, pH 7.4, with 0.09% sodium azide 0.4 ml 439
Image
F55107-0.08ML In 1X PBS, pH 7.4, with 0.09% sodium azide 0.08 ml 205
Bulk quote request
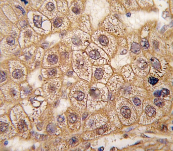
IHC staining of FFPE human hepatocarcinoma tissue with B2AR antibody. HIER: steam section in pH6 citrate buffer for 20 min and allow to cool prior to staining.
Western blot testing of HUVEC lysate with B2AR antibody. Predicted molecular weight ~46 kDa.
Availability 1-3 business days
Species Reactivity Human
Format Purified
Host Rabbit
Clonality Polyclonal (rabbit origin)
Isotype Rabbit Ig
Purity Antigen affinity
UniProt P07550
Localization Cell membrane, cytoplasm
Applications Western Blot : 1:1000-1:2000
Immunohistochemistry (FFPE) : 1:10-1:50
Limitations This B2AR antibody is available for research use only.
Review this product on BioCompare and get a $20 Amazon gift card

Related Products

Description

The Beta-2-Adrenergic receptor is a protein that is found on the surface of cells, particularly in the lungs, heart, and smooth muscle tissue. It is a member of the G-protein coupled receptor family which transmits signals from outside the cell to the inside, triggering a cascade of cellular responses. The Beta-2-Adrenergic receptor plays a critical role in regulating various physiological functions, including bronchodilation, heart rate, and glucose metabolism. Dysregulation of the Beta-2-Adrenergic receptor has been implicated in a variety of diseases, such as asthma, chronic obstructive pulmonary disease, and heart failure.

Application Notes

The stated application concentrations are suggested starting points. Titration of the B2AR antibody may be required due to differences in protocols and secondary/substrate sensitivity.

Immunogen

A portion of amino acids 236-264 from the human protein was used as the immunogen for the B2AR antibody.

Storage

Aliquot the B2AR antibody and store frozen at -20oC or colder. Avoid repeated freeze-thaw cycles.

Cross
Bulk Quote Request Form
Name*:
Organization*:
Email*:
Phone Number*:
Catalog No.*:
Comments and Specifics(amount, formulation, etc.)*:
Validation code: Captchapackage Image


Can't read the image? click here to refresh.
    *required field

Your bulk quote request has been submitted successfully!

Please contact us if you have any questions.