• Tel: 858.663.9055
  • SeparatorEmail: info@nsjbio.com
  • Tel: 858.663.9055
  • Email: info@nsjbio.com
Home >> Antibodies >> AVPR1B Antibody

AVPR1B Antibody (R35132)

  Catalog No Formulation Size Price (USD)  
Image R35132-100UG 0.5 mg/ml in 1X TBS, pH7.3, with 0.5% BSA (US sourced) and 0.02% sodium azide 100 ug 475
Bulk quote request
Western blot testing of human amygdala lysate with AVPR1B antibody, cat # R35132 (0.5ug/ml, lane A) and rat brain lysate with AVPR1B antibody, cat # R34558 (0.05ug/ml, lane B). Predicted molecular weight: ~47/170kDa (unmodified/modified).
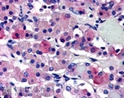
IHC staining of FFPE human anterior pituitary gland with AVPR1B antibody at 5ug/ml. HIER: steamed with pH6 citrate buffer, AP-staining.
Availability 1-3 business days
Species Reactivity Human
Format Antigen affinity purified
Host Goat
Clonality Polyclonal (goat origin)
Isotype Goat Ig
Purity Antigen affinity
Gene ID 553
Applications Western Blot : 0.5-2ug/ml
Immunohistochemistry (FFPE) : 5-10ug/ml
ELISA (peptide) LOD : 1:32000
Limitations This AVPR1B antibody is available for research use only.
Review this product on BioCompare and get a $20 Amazon gift card

Related Products

  • Applications : WB, ELISA (peptide)
    Reactivity : Mouse, Rat

Description

Additional name(s) for this target protein: Arginine vasopressin receptor 1B

Application Notes

Optimal dilution of the AVPR1B antibody should be determined by the researcher.

Immunogen

Amino acids PRDLELADGEGTAE were used as the immunogen for this AVPR1B antibody.

Storage

Aliquot and store the AVPR1B antibody at -20oC.

Cross
Bulk Quote Request Form
Name*:
Organization*:
Email*:
Phone Number*:
Catalog No.*:
Comments and Specifics(amount, formulation, etc.)*:
Validation code: Captchapackage Image


Can't read the image? click here to refresh.
    *required field

Your bulk quote request has been submitted successfully!

Please contact us if you have any questions.