• Tel: 858.663.9055
  • SeparatorEmail: info@nsjbio.com
  • Tel: 858.663.9055
  • Email: info@nsjbio.com
Home >> Antibodies >> ATG5 Antibody

ATG5 Antibody [clone ATG5/2101] (V3951)

  Catalog No Formulation Size Price (USD)  
Image V3951-100UG 0.2 mg/ml in 1X PBS with 0.1 mg/ml BSA (US sourced) and 0.05% sodium azide 100 ug 559
Image
V3951-20UG 0.2 mg/ml in 1X PBS with 0.1 mg/ml BSA (US sourced) and 0.05% sodium azide 20 ug 259
Image
V3951SAF-100UG 1 mg/ml in 1X PBS; BSA free, sodium azide free 100 ug 559
Microvalidated
Bulk quote request
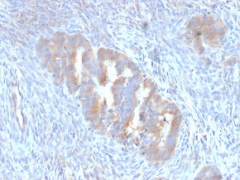
IHC staining of FFPE human endometrium with ATG5 antibody (clone ATG5/2101). Required HIER: boil tissue sections in 10mM citrate buffer, pH 6, for 10-20 min followed by cooling at RT for 20 min.
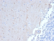
IHC staining of FFPE human brain with ATG5 antibody (clone ATG5/2101). Required HIER: boil tissue sections in 10mM citrate buffer, pH 6, for 10-20 min followed by cooling at RT for 20 min.
Western blot testing of human THP1 and human brain lysate with ATG5 antibody (clone ATG5/2101). Expected molecular weight ATG5: ~32 kDa; ATG5/ATG12 heterodimer: ~56 kDa.
Analysis of HuProt(TM) microarray containing more than 19,000 full-length human proteins using ATG5 antibody (clone ATG5/2101). These results demonstrate the foremost specificity of the ATG5/2101 mAb.
Z- and S- score: The Z-score represents the strength of a signal that an antibody (in combination with a fluorescently-tagged anti-IgG secondary Ab) produces when binding to a particular protein on the HuProt(TM) array. Z-scores are described in units of standard deviations (SD's) above the mean value of all signals generated on that array. If the targets on the HuProt(TM) are arranged in descending order of the Z-score, the S-score is the difference (also in units of SD's) between the Z-scores. The S-score therefore represents the relative target specificity of an Ab to its intended target.
SDS-PAGE analysis of purified, BSA-free ATG5 antibody (clone ATG5/2101) as confirmation of integrity and purity.
Availability 1-3 business days
Species Reactivity Human
Format Purified
Host Mouse
Clonality Monoclonal (mouse origin)
Isotype Mouse IgG1, kappa
Clone Name ATG5/2101
Purity Protein G affinity chromatography
UniProt Q9H1Y0
Localization Cytoplasmic
Applications ELISA : 1-5ug/ml for coating (order BSA/sodium azide-free format)
Western Blot : 1-2ug/ml
Immunohistochemistry (FFPE) : 1-2ug/ml for 30 min at RT
Limitations This ATG5 antibody is available for research use only.
Review this product on BioCompare and get a $20 Amazon gift card

Related Products

  • Applications : IHC-P
    Reactivity : Human
    Recmousemono
    Microvalidated
  • Applications : ELISA
    Reactivity : Human
    Recrabbitmono
  • Applications : WB
    Reactivity : Human, Rat
  • Applications : ELISA, WB, IHC-P
    Reactivity : Human
  • Applications : ELISA, WB, IHC-P
    Reactivity : Human
  • Applications : WB
    Reactivity : Human, Mouse, Rat
  • Applications : WB, IHC, IF, ELISA
    Reactivity : Human, Mouse
    Pred. Reactivity : Rat, Bovine, Pig
  • Applications : WB, IHC, IF, ELISA
    Reactivity : Human, Mouse
  • Applications : WB, ELISA
    Reactivity : Human, Zebrafish
  • Applications : WB, ELISA
    Reactivity : Mouse, Zebrafish
  • Applications : WB, IHC, IF, ELISA
    Reactivity : Human
  • Applications : IHC-P
    Reactivity : Zebrafish

Description

The protein encoded by this gene, in combination with autophagy protein 12, functions as an E1-like activating enzyme in a ubiquitin-like conjugating system. The encoded protein is involved in several cellular processes, including autophagic vesicle formation, mitochondrial quality control after oxidative damage, negative regulation of the innate antiviral immune response, lymphocyte development and proliferation, MHC II antigen presentation, adipocyte differentiation, and apoptosis. The ATG5 protein is essential for autophagy; a process that is usually beneficial for cells to self-degrade their own components when they are no longer useful.

Application Notes

Optimal dilution of the ATG5 antibody should be determined by the researcher.

Immunogen

A portion of of amino acids 1-119 from the human protein was used as the immunogen for the ATG5 antibody.

Storage

Store the ATG5 antibody at 2-8oC (with azide) or aliquot and store at -20oC or colder (without azide).

Cross
Bulk Quote Request Form
Name*:
Organization*:
Email*:
Phone Number*:
Catalog No.*:
Comments and Specifics(amount, formulation, etc.)*:
Validation code: Captchapackage Image


Can't read the image? click here to refresh.
    *required field

Your bulk quote request has been submitted successfully!

Please contact us if you have any questions.