• Tel: 858.663.9055
  • SeparatorEmail: info@nsjbio.com
  • Tel: 858.663.9055
  • Email: info@nsjbio.com
Home >> Antibodies >> ATF7IP2 Antibody / MCAF2

ATF7IP2 Antibody / MCAF2 (F54547)

  Catalog No Formulation Size Price (USD)  
Image F54547-0.4ML In 1X PBS, pH 7.4, with 0.09% sodium azide 0.4 ml 439
Image
F54547-0.08ML In 1X PBS, pH 7.4, with 0.09% sodium azide 0.08 ml 205
Bulk quote request
Western blot testing of human CEM cell lysate with ATF7IP2 antibody. Predicted molecular weight ~76 kDa.
Western blot testing of mouse stomach lysate with ATF7IP2 antibody. Predicted molecular weight ~76 kDa.
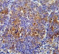
IHC testing of FFPE human lung carcinoma tissue with ATF7IP2 antibody. HIER: steam section in pH6 citrate buffer for 20 min and allow to cool prior to staining.
Flow cytometry testing of human CEM cells with ATF7IP2 antibody; Blue=isotype control, Green= ATF7IP2 antibody.
Availability 1-3 business days
Species Reactivity Human, Mouse
Format Purified
Host Rabbit
Clonality Polyclonal (rabbit origin)
Isotype Rabbit Ig
Purity Antigen affinity purified
UniProt Q5U623
Localization Nuclear
Applications Flow Cytometry : 1:25 (1x10e6 cells)
Immunohistochemistry (FFPE) : 1:25
Western Blot : 1:500-1:2000
Limitations This ATF7IP2 antibody is available for research use only.
Review this product on BioCompare and get a $20 Amazon gift card

Description

Recruiter that couples transcriptional factors to general transcription apparatus and thereby modulates transcription regulation and chromatin formation. Can both act as an activator or a repressor depending on the context. Mediates MBD1-dependent transcriptional repression, probably by recruiting complexes containing SETDB1. The complex formed with MBD1 and SETDB1 represses transcription and probably couples DNA methylation and histone 'Lys-9' trimethylation activity (Probable).

Application Notes

The stated application concentrations are suggested starting points. Titration of the ATF7IP2 antibody may be required due to differences in protocols and secondary/substrate sensitivity.

Immunogen

A portion of amino acids 318-347 from the human protein was used as the immunogen for the ATF7IP2 antibody .

Storage

Aliquot the ATF7IP2 antibody and store frozen at -20oC or colder. Avoid repeated freeze-thaw cycles.

Cross
Bulk Quote Request Form
Name*:
Organization*:
Email*:
Phone Number*:
Catalog No.*:
Comments and Specifics(amount, formulation, etc.)*:
Validation code: Captchapackage Image


Can't read the image? click here to refresh.
    *required field

Your bulk quote request has been submitted successfully!

Please contact us if you have any questions.