• Tel: 858.663.9055
  • SeparatorEmail: info@nsjbio.com
  • Tel: 858.663.9055
  • Email: info@nsjbio.com
Home >> Antibodies >> ARL8A Antibody

ARL8A Antibody (F54537)

  Catalog No Formulation Size Price (USD)  
Image F54537-0.4ML In 1X PBS, pH 7.4, with 0.09% sodium azide 0.4 ml 439
Image
F54537-0.08ML In 1X PBS, pH 7.4, with 0.09% sodium azide 0.08 ml 205
Bulk quote request
Western blot testing of mouse NIH 3T3 cell lysate with ARL8A antibody. Predicted molecular weight ~21 kDa.
Western blot testing of human A375 cell lysate with ARL8A antibody. Predicted molecular weight ~21 kDa.
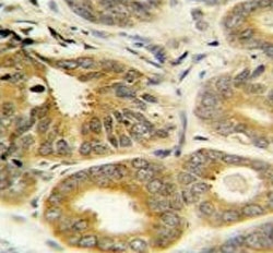
IHC testing of FFPE human prostate carcinoma tissue with ARL8A antibody. HIER: steam section in pH6 citrate buffer for 20 min and allow to cool prior to staining.
Flow cytometry testing of human A375 cells with ARL8A antibody; Blue=isotype control, Green= ARL8A antibody.
Availability 1-3 business days
Species Reactivity Human, Mouse
Format Purified
Host Rabbit
Clonality Polyclonal (rabbit origin)
Isotype Rabbit Ig
Purity Antigen affinity purified
UniProt Q96BM9
Applications Flow Cytometry : 1:25 (1x10e6 cells)
Immunohistochemistry (FFPE) : 1:25
Western Blot : 1:500-1:2000
Limitations This ARL8A antibody is available for research use only.
Review this product on BioCompare and get a $20 Amazon gift card

Description

ARL8A plays a role in lysosome motility. [UniProt]

Application Notes

The stated application concentrations are suggested starting points. Titration of the ARL8A antibody may be required due to differences in protocols and secondary/substrate sensitivity.

Immunogen

A portion of amino acids 116-142 from the human protein was used as the immunogen for the ARL8A antibody.

Storage

Aliquot the ARL8A antibody and store frozen at -20oC or colder. Avoid repeated freeze-thaw cycles.

Cross
Bulk Quote Request Form
Name*:
Organization*:
Email*:
Phone Number*:
Catalog No.*:
Comments and Specifics(amount, formulation, etc.)*:
Validation code: Captchapackage Image


Can't read the image? click here to refresh.
    *required field

Your bulk quote request has been submitted successfully!

Please contact us if you have any questions.