• Tel: 858.663.9055
  • SeparatorEmail: info@nsjbio.com
  • Tel: 858.663.9055
  • Email: info@nsjbio.com
Home >> Antibodies >> ARID2 Antibody / AT-rich interactive domain-containing protein 2

ARID2 Antibody / AT-rich interactive domain-containing protein 2 (RQ4971)

  Catalog No Formulation Size Price (USD)  
Image RQ4971 0.5mg/ml if reconstituted with 0.2ml sterile DI water 100 ug 449
Bulk quote request
Immunoprecipitation of ARID2 protein from 500ug of human MCF7 whole cell lysate with 2ug of ARID2 antibody.
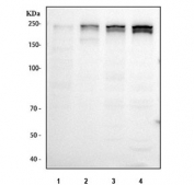
Western blot testing of human 1) ThP-1, 2) Jurkat, 3) HEL and 4) MCF7 cell lysate with ARID2 antibody. Predicted molecular weight: 191/197 kDa (two isoforms).
Availability 1-3 business days
Species Reactivity Human
Format Antigen affinity purified
Host Rabbit
Clonality Polyclonal (rabbit origin)
Isotype Rabbit IgG
Purity Affinity purified
Buffer Lyophilized from 1X PBS with 2% Trehalose
UniProt Q68CP9
Applications Western Blot : 0.5-1ug/ml
Immunoprecipitation : 2ug/500ug of lysate
Limitations This ARID2 antibody is available for research use only.
Review this product on BioCompare and get a $20 Amazon gift card

Related Products

Description

AT-rich interactive domain-containing protein 2 (ARID2) is a protein that in humans is encoded by the ARID2 gene. It is mapped to 12q12. This gene encodes a member of the AT-rich interactive domain (ARID)-containing family of DNA-binding proteins. Members of the ARID family have roles in embryonic patterning, cell lineage gene regulation, cell cycle control, transcriptional regulation and chromatin structure modification. This protein functions as a subunit of the polybromo- and BRG1-associated factor or PBAF (SWI/SNF-B) chromatin remodeling complex which facilitates ligand-dependent transcriptional activation by nuclear receptors. Mutations in this gene are associated with hepatocellular carcinomas. A pseudogene of this gene is found on chromosome1.

Application Notes

Optimal dilution of the ARID2 antibody should be determined by the researcher.

Immunogen

Amino acids DERRKGLAFLDELRQFHHSR from the human protein were used as the immunogen for the ARID2 antibody.

Storage

Store the ARID2 antibody at -20oC.

Cross
Bulk Quote Request Form
Name*:
Organization*:
Email*:
Phone Number*:
Catalog No.*:
Comments and Specifics(amount, formulation, etc.)*:
Validation code: Captchapackage Image


Can't read the image? click here to refresh.
    *required field

Your bulk quote request has been submitted successfully!

Please contact us if you have any questions.