• Tel: 858.663.9055
  • SeparatorEmail: info@nsjbio.com
  • Tel: 858.663.9055
  • Email: info@nsjbio.com
Home >> Antibodies >> Anti-CD45RA Antibody

Anti-CD45RA Antibody [clone SPM568] (V2412)

  Catalog No Formulation Size Price (USD)  
Image V2412-100UG 0.2 mg/ml in 1X PBS with 0.1 mg/ml BSA (US sourced) and 0.05% sodium azide 100 ug 559
Image
V2412-20UG 0.2 mg/ml in 1X PBS with 0.1 mg/ml BSA (US sourced) and 0.05% sodium azide 20 ug 259
Image
V2412SAF-100UG 1 mg/ml in 1X PBS; BSA free, sodium azide free 100 ug 559
Image
V2412IHC-7ML Prediluted in 1X PBS with 0.1 mg/ml BSA (US sourced) and 0.05% sodium azide; *For IHC use only* 7 ml 559
Bulk quote request
Flow cytometry testing of human Jurkat cells with anti-CD45 antibody (clone SPM568); Red=isotype control, Blue= anti-CD45 antibody.
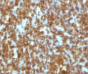
IHC test of FFPE human tonsil probed with anti-CD45RA antibody (clone SPM568).
Immunofluorescent staining of PFA-fixed human Jurkat cells with anti-CD45RA antibody (green, clone SPM568) and Reddot nuclear stain (red).
Western blot testing of human spleen lysate with CD45RA antibody (clone SPM568). Expected molecular weight: 147-220 kDa depending on glycosylation level.
Species Reactivity Human
Format Purified
Host Mouse
Clonality Monoclonal (mouse origin)
Isotype Mouse IgG2a, kappa
Clone Name SPM568
Purity Protein G affinity chromatography
UniProt P08575
Localization Cell surface
Applications Flow Cytometry : 1-2ug/10^6 cells
Immunofluorescence : 1-2ug/ml
Western Blot : 1-2ug/ml
Immunohistochemistry (FFPE) : 1-2ug/ml for 30 min at RT
Limitations This anti-CD45RA antibody is available for research use only.
Review this product on BioCompare and get a $20 Amazon gift card

Related Products

Description

CD45RA is an isoform of the human leukocyte common antigen (CD45). Human CD45 contains three exons which encode peptide segments designated A, B and C, respectively. The differential splicing of the exons generates at least five isoforms, ABC, AB, BC, B and O. This antibody reacts with ABC and BC isoforms. CD45RA is expressed on 40-50% of peripheral CD4+ T-cells, 50% of peripheral CD8+ T-cells, B-cells, and leukemic B-cell lines. T-cells expressing CD45RA are naive or virgin T-cells. T-cells expressing CD45RO are memory T-cells. CD45RA and CD45RO define complementary, predominantly non-overlapping populations of resting peripheral T-cells. This MAb is useful in study on the subpopulation of CD4+ or CD8+ T-cells. It can especially be used to differentiate T-cell lymphomas (CD45RO +ve) from B cell lymphomas (CD45RA +ve).

Application Notes

Due to variation in protocol and secondary antibody used, the anti-CD45RA antibody may need to be titered for optimal performance.

1. FFPE staining requires boiling tissue sections in pH 9 10mM Tris with 1mM EDTA for 10-20 min followed by cooling at RT for 20 minutes.
2. The prediluted format is supplied in a dropper bottle and is optimized for use in IHC. After epitope retrieval step (if required), drip mAb solution onto the tissue section and incubate at RT for 30 min.

Immunogen

Stimulated human leukocytes were used as immunogen for this anti-CD45RA antibody.

Storage

The anti-CD45RA antibody (with azide) can be stored at 2-8oC. The azide-free format should be aliquoted and stored at -20oC or colder.

Cross
Bulk Quote Request Form
Name*:
Organization*:
Email*:
Phone Number*:
Catalog No.*:
Comments and Specifics(amount, formulation, etc.)*:
Validation code: Captchapackage Image


Can't read the image? click here to refresh.
    *required field

Your bulk quote request has been submitted successfully!

Please contact us if you have any questions.