• Tel: 858.663.9055
  • SeparatorEmail: info@nsjbio.com
  • Tel: 858.663.9055
  • Email: info@nsjbio.com
Home >> Antibodies >> Androgen Receptor Antibody for WB / AR Western Blot Antibody

Androgen Receptor Antibody for WB / AR Western Blot Antibody [clone RM255] (R20341)

  Catalog No Formulation Size Price (USD)  
Image R20341-0.1ML Antibody in PBS with 50% glycerol, 1% BSA and 0.09% sodium azide 100 ul 439
Microvalidated Recrabbitmono
Bulk quote request
Androgen Receptor Antibody for WB (clone RM255) detects androgen receptor protein in western blot analysis of human 22Rv1 cell lysate using antibodies targeting different AR regions. A band corresponding to full-length androgen receptor is observed at approximately 110 kDa, while additional lower molecular weight bands represent androgen receptor variant isoforms commonly present in 22Rv1 cells.
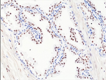
IHC staining of FFPE human prostate cancer tissue with recombinant Androgen Receptor antibody at 1:200.
IHC staining of FFPE mouse xenograft LNCaP95 tumor tissue sections with recombinant Androgen Receptor antibody at 1:2000. Courtesy of Dr. Stephen Plymate, University of Washington, Washington USA.
Availability 1-3 business days
Species Reactivity Human
Format Purified
Host Rabbit
Clonality Recombinant Rabbit Monoclonal
Isotype Rabbit IgG
Clone Name RM255
Purity Protein A purified from animal origin-free supernatant
UniProt P10275
Applications Immunohistochemistry (FFPE) : 1:200-1:2000
Western Blot : 1:200-1:1000
Limitations This Androgen Receptor antibody is available for research use only.
Review this product on BioCompare and get a $20 Amazon gift card

Related Products

Description

Androgen receptor (AR), encoded by the AR gene and also known as nuclear receptor subfamily 3 group C member 4 (NR3C4), is a ligand-activated transcription factor that mediates cellular responses to androgens such as testosterone and dihydrotestosterone. AR is a member of the steroid hormone receptor family and plays essential roles in male reproductive development, prostate biology, and androgen signaling pathways in multiple tissues. Androgen Receptor Antibody for WB (clone RM255) recognizes the AR protein and is designed specifically for western blot detection of androgen receptor expression and isoforms in cell and tissue lysates.

Western blot analysis is widely used to evaluate androgen receptor expression because the AR protein exists in multiple forms that can be resolved by SDS-PAGE. The full-length androgen receptor typically migrates at approximately 110 kDa, corresponding to the intact receptor containing the N-terminal transactivation domain, DNA-binding domain, hinge region, and ligand-binding domain. Detection of this band in western blot experiments provides confirmation of full-length AR expression in androgen-responsive cells and tissues.

In addition to the full-length receptor, western blot studies frequently detect smaller AR variants generated through alternative splicing or truncation events. These AR variant proteins typically lack the ligand-binding domain but retain the transcriptional activation region, allowing them to remain constitutively active in certain biological contexts. Such variants often migrate at lower molecular weights compared with the full-length receptor and can be observed as additional bands in immunoblot experiments depending on the antibody epitope and cell type analyzed.

Western blot detection of androgen receptor is particularly important in prostate cancer research, where AR expression and variant formation play key roles in tumor progression and therapy resistance. Cell lines such as 22Rv1 are known to express both full-length androgen receptor and truncated AR variants, making them commonly used models for evaluating antibody performance in western blot experiments. Detection of both receptor forms allows investigators to assess androgen signaling pathways and variant receptor expression simultaneously.

Because the androgen receptor contains multiple functional domains, antibodies directed against different epitopes may detect distinct subsets of AR isoforms. N-terminal targeting antibodies commonly recognize both full-length receptor and truncated variants, while antibodies directed toward the C-terminal region typically detect only the full-length protein. Western blot analysis therefore provides an effective method to confirm antibody epitope specificity and isoform recognition.

Androgen Receptor Antibody for WB (clone RM255) is a recombinant rabbit monoclonal antibody optimized for western blot analysis of AR expression. The antibody supports detection of the full-length androgen receptor as well as variant receptor forms, enabling detailed analysis of androgen receptor signaling and isoform expression in molecular and cancer research studies.

Application Notes

The stated application concentrations are suggested starting points. Titration of the Androgen Receptor Antibody for WB may be required due to differences in protocols and secondary/substrate sensitivity.

Immunogen

A peptide corresponding to the C-terminus of Androgen Receptor was used as the immunogen for the Androgen Receptor antibody.

Storage

Store the Androgen Receptor antibody at -20oC.

Alternate Names

Androgen receptor antibody, AR antibody, NR3C4 antibody, Nuclear receptor subfamily 3 group C member 4 antibody, Dihydrotestosterone receptor antibody

Cross
Bulk Quote Request Form
Name*:
Organization*:
Email*:
Phone Number*:
Catalog No.*:
Comments and Specifics(amount, formulation, etc.)*:
Validation code: Captchapackage Image


Can't read the image? click here to refresh.
    *required field

Your bulk quote request has been submitted successfully!

Please contact us if you have any questions.