• Tel: 858.663.9055
  • SeparatorEmail: info@nsjbio.com
  • Tel: 858.663.9055
  • Email: info@nsjbio.com
Home >> Antibodies >> ACTC1 Antibody

ACTC1 Antibody (F44293)

  Catalog No Formulation Size Price (USD)  
Image F44293-0.4ML In 1X PBS, pH 7.4, with 0.09% sodium azide 0.4 ml 439
Image
F44293-0.08ML In 1X PBS, pH 7.4, with 0.09% sodium azide 0.08 205
Bulk quote request
Confocal immunofluorescent analysis of ACTC1 antibody with HeLa cells followed by Alexa Fluor 488-conjugated goat anti-rabbit lgG (green). DAPI was used as a nuclear counterstain (blue).
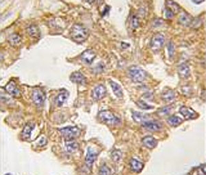
IHC analysis of FFPE human lung carcinoma tissue stained with ACTC1 antibody
Western blot analysis of ACTC1 antibody and mouse testis tissue lysate. Predicted molecular weight ~42 kDa.
Availability 1-3 business days
Species Reactivity Human, Mouse
Predicted Reactivity Bovine, C. elegans, Chicken, Drosophila, Rabbit, Rat, Xenopus, Zebrafish
Format Purified
Host Rabbit
Clonality Polyclonal (rabbit origin)
Isotype Rabbit Ig
Purity Purified
UniProt P68032
Applications Western Blot : 1:1000
IHC (Paraffin) : 1:10-1:50
Immunofluorescence : 1:10-1:50
Limitations This ACTC1 antibody is available for research use only.
Review this product on BioCompare and get a $20 Amazon gift card

Related Products

Description

Actins are highly conserved proteins that are involved in cell motility, structure, and integrity. ACTB/ACTC are nonmuscle cytoskeletal actins and major constituents of the contractile apparatus. Defects in ACTB are a cause of juvenile-onset dystonia. Defects in ACTC have been associated with idiopathic dilated cardiomyopathy (IDC) and familial hypertrophic cardiomyopathy (FHC).

Application Notes

Titration of the ACTC1 antibody may be required due to differences in protocols and secondary/substrate sensitivity.

Immunogen

A portion of amino acids 38-67 from the human protein was used as the immunogen for this ACTC1 antibody.

Storage

Aliquot the ACTC1 antibody and store frozen at -20oC or colder. Avoid repeated freeze-thaw cycles.

Cross
Bulk Quote Request Form
Name*:
Organization*:
Email*:
Phone Number*:
Catalog No.*:
Comments and Specifics(amount, formulation, etc.)*:
Validation code: Captchapackage Image


Can't read the image? click here to refresh.
    *required field

Your bulk quote request has been submitted successfully!

Please contact us if you have any questions.