• Tel: 858.663.9055
  • SeparatorEmail: info@nsjbio.com
  • Tel: 858.663.9055
  • Email: info@nsjbio.com
Home >> Antibodies >> ABCC5 Antibody

ABCC5 Antibody (R34373)

  Catalog No Formulation Size Price (USD)  
Image R34373-100UG 0.5 mg/ml in 1X TBS, pH7.3, with 0.5% BSA (US sourced) and 0.02% sodium azide 100 ug 475
Bulk quote request
Western blot testing of human frontal cortex lysate with ABCC5 antibody at 0.5ug/ml. Predicted molecular weight: isoforms mayb be observed at ~23 kDa and 155-160 kDa.
IHC staining of FFPE human kidney with ABCC5 antibody at 4ug/ml. HIER: steamed with pH6 citrate buffer, HRP-staining. Similar results with antigen retrieval at pH9.
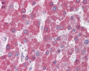
IHC testing of FFPE human liver tissue with ABCC5 antibody at 5ug/ml. Required HIER: steamed antigen retrieval with pH6 citrate buffer; AP-staining.
Availability 1-3 business days
Species Reactivity Human
Predicted Reactivity Mouse, Rat, Dog, Pig, Cow
Format Antigen affinity purified
Host Goat
Clonality Polyclonal (goat origin)
Isotype Goat Ig
Purity Antigen affinity
UniProt O15440
Gene ID 10057
Localization Cytoplasmic
Applications Western Blot : 0.5-1.5ug/ml
Immunohistochemistry (FFPE) : 4-6ug/ml
ELISA (peptide) LOD : 1:32000
Limitations This ABCC5 antibody is available for research use only.
Review this product on BioCompare and get a $20 Amazon gift card

Related Products

  • Applications : IHC-P, FACS, Direct ELISA
    Reactivity : Human

Description

Additional name(s) for this target protein: ATP-binding cassette, sub-family C (CFTR/MRP), member 5, MOATC, MRP5

Application Notes

Optimal dilution of the ABCC5 antibody should be determined by the researcher.

Immunogen

Amino acids KDIDIGKEYIIP were used as the immunogen for this ABCC5 antibody.

Storage

Aliquot and store the ABCC5 antibody at -20oC.

Cross
Bulk Quote Request Form
Name*:
Organization*:
Email*:
Phone Number*:
Catalog No.*:
Comments and Specifics(amount, formulation, etc.)*:
Validation code: Captchapackage Image


Can't read the image? click here to refresh.
    *required field

Your bulk quote request has been submitted successfully!

Please contact us if you have any questions.