- Tel: 858.663.9055
- 
									 Email: info@nsjbio.com Email: info@nsjbio.com
- Tel: 858.663.9055
- Email: info@nsjbio.com
 Email: info@nsjbio.com
Email: info@nsjbio.com
								Related Products
| 
 | 
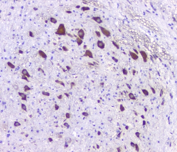
The mammalian HTR2A (5-HT2A receptor) is a subtype of the 5-HT2 receptor that belongs to the serotonin receptor family and is a G protein-coupled receptor (GPCR). This is the main excitatory receptor subtype among the GPCRs for serotonin (5-HT), although 5-HT2A may also have an inhibitory effect on certain areas such as the visual cortex and the orbit frontal cortex. This receptor was given importance first as the target of psychedelic drugs like LSD. Later it came back to prominence because it was also found to be mediating, at least partly, the action of many antipsychotic drugs, especially the atypical ones. 5-HT2A also happens to be a necessary receptor for the spread of the human polyoma virus called JC virus. Sparkes et al. (1991) concluded that the gene is located on 13q14-q21 in man and on chromosome 14 in the mouse.
Optimal dilution of the 5HT2AR antibody should be determined by the researcher.
Amino acids KENKKPLQLILVNTIPALAYKSSQLQMGQKKN of human 5HT2A Receptor were used as the immunogen for the 5HT2AR antibody.
After reconstitution, the 5HT2AR antibody can be stored for up to one month at 4oC. For long-term, aliquot and store at -20oC. Avoid repeated freezing and thawing.
 
Your bulk quote request has been submitted successfully!
Please contact us if you have any questions.