• Tel: 858.663.9055
  • SeparatorEmail: info@nsjbio.com
  • Tel: 858.663.9055
  • Email: info@nsjbio.com
Home >> Antibodies >> ZP2 Antibody

ZP2 Antibody (R32192)

  Catalog No Formulation Size Price (USD)  
Image R32192 0.5mg/ml if reconstituted with 0.2ml sterile DI water 100 ug 449
Bulk quote request
Western blot testing of human 1) HeLa and 2) HepG2 cell lysate with ZP2 antibody. Expected/observed molecular weight ~82 kDa.
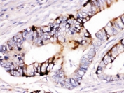
IHC testing of FFPE human intestine cancer tissue with ZP2 antibody. HIER: Boil the paraffin sections in pH 6, 10mM citrate buffer for 20 minutes and allow to cool prior to staining.
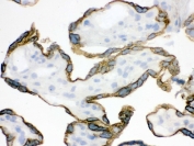
IHC testing of frozen human placental tissue with ZP2 antibody.
Availability 1-3 business days
Species Reactivity Human
Format Antigen affinity purified
Host Rabbit
Clonality Polyclonal (rabbit origin)
Isotype Rabbit IgG
Purity Antigen affinity
Buffer Lyophilized from 1X PBS with 2.5% BSA, 0.025% sodium azide
UniProt Q05996
Localization Cytoplasmic, membrane, secreted
Applications Western Blot : 0.1-0.5ug/ml
IHC (FFPE) : 0.5-1ug/ml
IHC (Frozen) : 0.5-1ug/ml
Limitations This ZP2 antibody is available for research use only.
Review this product on BioCompare and get a $20 Amazon gift card

Description

Zona pellucida sperm-binding protein 2 is a protein that in humans is encoded by the ZP2 gene. The sperm-binding domain on the ZP2 protein is necessary in both humans and mice for oocyte-sperm recognition and penetration of the zona pellucida. It is also responsible for the primary block to polyspermy in mammals. The oocyte has cortical granules peripherally located under the cortex that contain a proteolytic protein called ovastacin. After the sperm binds to ZP2, the cortical granules are exocytosed releasing ovastacin into the perivitelline space. Ovastacin cleaves ZP2 at the N terminus, preventing more sperm from binding and penetrating the oocyte, thus hardening the zona pellucida. Ovastacin is only found in oocytes, and is part of the astacin family of metalloendoproteases. Female mice engineered without ovastacin showed that ZP2 was not cleaved after fertilization.

Application Notes

Optimal dilution of the ZP2 antibody should be determined by the researcher.

Immunogen

Amino acids ENEYPLVRFLRQPIYMEVRVLNRDDPNIKLVLDD of human ZP2 were used as the immunogen for the ZP2 antibody.

Storage

After reconstitution, the ZP2 antibody can be stored for up to one month at 4oC. For long-term, aliquot and store at -20oC. Avoid repeated freezing and thawing.

Cross
Bulk Quote Request Form
Name*:
Organization*:
Email*:
Phone Number*:
Catalog No.*:
Comments and Specifics(amount, formulation, etc.)*:
Validation code: Captchapackage Image


Can't read the image? click here to refresh.
    *required field

Your bulk quote request has been submitted successfully!

Please contact us if you have any questions.