• Tel: 858.663.9055
  • SeparatorEmail: info@nsjbio.com
  • Tel: 858.663.9055
  • Email: info@nsjbio.com
Home >> Antibodies >> ZO2 Antibody / TJP2

ZO2 Antibody / TJP2 (RQ6401)

  Catalog No Formulation Size Price (USD)  
Image RQ6401 0.5mg/ml if reconstituted with 0.2ml sterile DI water 100 ug 449
Bulk quote request
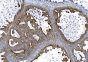
IHC staining of FFPE human rectal cancer tissue with ZO2 antibody. HIER: boil tissue sections in pH8 EDTA for 20 min and allow to cool before testing.
IHC staining of FFPE human ovarian serous adenocarcinoma tissue with ZO2 antibody. HIER: boil tissue sections in pH8 EDTA for 20 min and allow to cool before testing.
IHC staining of FFPE human ovarian cancer tissue with ZO2 antibody. HIER: boil tissue sections in pH8 EDTA for 20 min and allow to cool before testing.
Immunofluorescent staining of FFPE human A431 cells with ZO2 antibody (green) and DAPI nuclear stain (blue). HIER: steam section in pH6 citrate buffer for 20 min.
Western blot testing of 1) human HEK293, 2) monkey COS-7, 3) human HeLa, 4) human MCF7, 5) human HepG2, 6) rat brain, 7) mouse brain and 8) mouse HEPA1-6 cell lysate with ZO2 antibody. Expected molecular weight: 131-160 kDa.
Flow cytometry testing of human Caco-2 cells with ZO2 antibody at 1ug/million cells (blocked with goat sera); Red=cells alone, Green=isotype control, Blue= ZO2 antibody.
Availability 1-3 business days
Species Reactivity Human, Monkey, Mouse, Rat
Format Purified
Host Rabbit
Clonality Polyclonal (rabbit origin)
Isotype Rabbit IgG
Purity Antigen affinity purified
Buffer Lyophilized from 1X PBS with 2% Trehalose
UniProt Q9UDY2
Localization Cytoplasmic, nuclear, cell junctions
Applications Western Blot : 0.5-1ug/ml
Immunohistochemistry (FFPE) : 2-5ug/ml
Immunofluorescence (FFPE) : 5ug/ml
Flow Cytometry : 1-3ug/million cells
Limitations This ZO2 antibody is available for research use only.
Review this product on BioCompare and get a $20 Amazon gift card

Related Products

Description

TJP2 (Tight Junction Protein 2), also known as Zona Occludens 2 or ZO2 is a protein that in humans is encoded by the TJP2 gene. Tight junction proteins (TJPs) belong to a family of membrane-associated guanylate kinase (MAGUK) homologs that are involved in the organization of epithelial and endothelial intercellular junctions. Duclos et al.(1994) mapped the TJP2 gene telomeric to the Friedreich ataxia critical region on chromosome 9q13-q21. TJP2 lies about 70 kb centromeric to the X123 gene and is transcribed in the centromere-to-telomere direction. Using in vitro assays and immunoprecipitation studies, Itoh et al.(1999) showed that the mouse Tjp1, Tjp2, and Tjp3 PDZ1 domains interacted with the C-terminal cytoplasmic domains of Cldn1 through Cldn8. In the mouse inner ear, Walsh et al.(2010) found that Tjp2 expression decreased rapidly between E16.5 and age 1 week to a level in adult mice that was approximately 50% of the level at birth(P0).

Application Notes

Optimal dilution of the ZO2 antibody should be determined by the researcher.

Immunogen

Amino acids QEAQNARIEIAQKHPDIYAVPIK were used as the immunogen for the ZO2 antibody.

Storage

After reconstitution, the ZO2 antibody can be stored for up to one month at 4oC. For long-term, aliquot and store at -20oC. Avoid repeated freezing and thawing.

Cross
Bulk Quote Request Form
Name*:
Organization*:
Email*:
Phone Number*:
Catalog No.*:
Comments and Specifics(amount, formulation, etc.)*:
Validation code: Captchapackage Image


Can't read the image? click here to refresh.
    *required field

Your bulk quote request has been submitted successfully!

Please contact us if you have any questions.