• Tel: 858.663.9055
  • SeparatorEmail: info@nsjbio.com
  • Tel: 858.663.9055
  • Email: info@nsjbio.com
Home >> Antibodies >> ZO-3 Antibody

ZO-3 Antibody (R31079)

  Catalog No Formulation Size Price (USD)  
Image R31079 0.5mg/ml if reconstituted with 0.2ml sterile DI water 100 ug 449
Bulk quote request
Western blot testing of ZO-3 antibody and Lane 1: rat brain; 2: rat heart tissue lysate. Predicted/observed size ~103KD
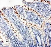
IHC-P: ZO-3 antibody testing of rat intestine tissue
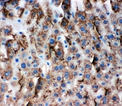
IHC-P: ZO-3 antibody testing of mouse liver tissue
Availability 1-3 business days
Species Reactivity Mouse, Rat
Format Antigen affinity purified
Host Rabbit
Clonality Polyclonal (rabbit origin)
Isotype Rabbit IgG
Purity Antigen affinity
Buffer Lyophilized from 1X PBS with 2.5% BSA and 0.025% sodium azide/thimerosal
UniProt Q9QXY1
Applications Western Blot : 0.5-1ug/ml
Immunohistochemistry (FFPE) : 0.5-1ug/ml
Limitations This ZO-3 antibody is available for research use only.
Review this product on BioCompare and get a $20 Amazon gift card

Related Products

Description

TJP3 (Tight junction protein 3), also called ZO-3 (Zona occludens 3), is a protein that in humans is encoded by the TJP3 gene. TJP3/ZO-3 is a member of the family of membrane-associated guanylate kinase-like proteins (MAGUK) that associate with intracellular junctions (Itoh et al., 1999). Haskins et al.(1998) showed that recombinant Tjp3 binds in vitro translated Tjp1 and binds directly to the cytoplasmic tail of occludin but no binding was detected between Tjp3 and Tjp2. Roh et al.(2002) determined that Tjp3 interacted with PATJ(INADL) and that both proteins colocalized to tight junctions in vivo. In vitro studies showed that the sixth and eighth PDZ domains of PATJ mediated interaction with the Tjp3 C-terminal domain and with Cldn1, respectively.

Application Notes

The stated application concentrations are suggested starting amounts. Titration of the ZO-3 antibody may be required due to differences in protocols and secondary/substrate sensitivity.

Immunogen

An amino acid sequence from the C-terminus of mouse Zonula occludens protein 3 (RARDVESSDDEGYDWGPATDL) was used as the immunogen for this ZO-3 antibody (100% rat homology).

Storage

After reconstitution, the ZO-3 antibody can be stored for up to one month at 4oC. For long-term, aliquot and store at -20oC. Avoid repeated freezing and thawing.

Cross
Bulk Quote Request Form
Name*:
Organization*:
Email*:
Phone Number*:
Catalog No.*:
Comments and Specifics(amount, formulation, etc.)*:
Validation code: Captchapackage Image


Can't read the image? click here to refresh.
    *required field

Your bulk quote request has been submitted successfully!

Please contact us if you have any questions.