• Tel: 858.663.9055
  • SeparatorEmail: info@nsjbio.com
  • Tel: 858.663.9055
  • Email: info@nsjbio.com
Home >> Antibodies >> ZO-2 Antibody / Zona Occludens 2

ZO-2 Antibody / Zona Occludens 2 (R31060)

  Catalog No Formulation Size Price (USD)  
Image R31060 0.5mg/ml if reconstituted with 0.2ml sterile DI water 100 ug 449
Bulk quote request
Immunofluorescent staining of FFPE human U-2 OS cells with ZO-2 antibody (green) and DAPI nuclear stain (blue). HIER: steam section in pH6 citrate buffer for 20 min.
Immunofluorescent staining of FFPE human A431 cells with ZO-2 antibody (green) and DAPI nuclear stain (blue). HIER: steam section in pH6 citrate buffer for 20 min.
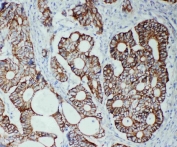
IHC staining of FFPE human intestinal cancer tissue with ZO-2 antibody. HIER: boil tissue sections in pH8 EDTA for 20 min and allow to cool before testing.
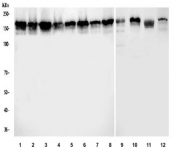
Western blot testing of 1) human RT4, 2) human A431, 3) human HepG2, 4) human HaCaT, 5) human MCF7, 6) human U-2 OS, 7) human HeLa, 8) human PC-3, 9) rat liver, 10) rat RH35, 11) mouse liver and 12) mouse HEPA1-6 cell lysate with ZO-2 antibody. Expected molecular weight: 131-160 kDa.
Flow cytometry testing of human MCF7 cells with ZO-2 antibody at 1ug/million cells (blocked with goat sera); Red=cells alone, Green=isotype control, Blue= ZO-2 antibody.
Availability 1-3 business days
Species Reactivity Human, Mouse, Rat
Format Antigen affinity purified
Host Rabbit
Clonality Polyclonal (rabbit origin)
Isotype Rabbit IgG
Purity Antigen affinity
Buffer Lyophilized from 1X PBS with 2.5% BSA and 0.025% sodium azide/thimerosal
UniProt Q9UDY2
Localization Cytoplasmic, nuclear, cell junctions
Applications Western Blot : 0.5-1ug/ml
Immunohistochemistry (FFPE) : 2-5ug/ml
Immunofluorescence : 5ug/ml
Flow Cytometry : 1-3ug/million cells
Limitations This ZO-2 antibody is available for research use only.
Review this product on BioCompare and get a $20 Amazon gift card

Related Products

Description

Tight Junction Protein 2, also known as Zona occludens 2 or ZO-2 is a protein that in humans is encoded by the TJP2 gene. Tight junction proteins (TJPs), or zonulae occludentes, belong to a family of membrane-associated guanylate kinase (MAGUK) homologs that are involved in the organization of epithelial and endothelial intercellular junctions. Duclos et al.(1994) mapped the gene telomeric to the Friedreich ataxia critical region on chromosome 9q13-q21. It lies about 70 kb centromeric to the X123 gene and is transcribed in the centromere-to-telomere direction. Using in vitro assays and immunoprecipitation studies, Itoh et al.(1999) showed that the mouse Tjp1, Tjp2, and Tjp3 PDZ1 domains interacted with the C-terminal cytoplasmic domains of Cldn1 through Cldn8. In the mouse inner ear, Walsh et al.(2010) found that Tjp2 expression decreased rapidly between E16.5 and age 1 week to a level in adult mice that was approximately 50% of the level at birth(P0).

Application Notes

The stated application concentrations are suggested starting amounts. Titration of the ZO-2 antibody may be required due to differences in protocols and secondary/substrate sensitivity.

Immunogen

A synthetic peptide corresponding to human Zona occludens 2 (SEHSKRGYYGQSARYRDTEL) was used as the immunogen for this ZO-2 antibody.

Storage

After reconstitution, the ZO-2 antibody can be stored for up to one month at 4oC. For long-term, aliquot and store at -20oC. Avoid repeated freezing and thawing.

Cross
Bulk Quote Request Form
Name*:
Organization*:
Email*:
Phone Number*:
Catalog No.*:
Comments and Specifics(amount, formulation, etc.)*:
Validation code: Captchapackage Image


Can't read the image? click here to refresh.
    *required field

Your bulk quote request has been submitted successfully!

Please contact us if you have any questions.