• Tel: 858.663.9055
  • SeparatorEmail: info@nsjbio.com
  • Tel: 858.663.9055
  • Email: info@nsjbio.com
Home >> Antibodies >> ZNRD2 Antibody / Zinc ribbon domain-containing protein 2 / SSSCA1

ZNRD2 Antibody / Zinc ribbon domain-containing protein 2 / SSSCA1 (FY13077)

  Catalog No Formulation Size Price (USD)  
Image FY13077 Adding 0.2 ml of distilled water will yield a concentration of 500 ug/ml 100 ug 449
Bulk quote request
Immunofluorescent staining of SSSCA1/ZNRD2 using anti-ZNRD2 antibody (red). ZNRD2 was detected in an immunocytochemical section of PC-3 cells. Enzyme antigen retrieval was performed using IHC enzyme antigen retrieval reagent for 15 mins. The cells were blocked with 10% goat serum. And then incubated with 5 ug/ml rabbit anti-ZNRD2 antibody overnight at 4oC. Cy3 Conjugated Goat Anti-Rabbit IgG was used as secondary antibody at 1:500 dilution and incubated for 30 minutes at 37oC. The section was counterstained with DAPI nuclear stain (blue). Visualize using a fluorescence microscope and filter sets appropriate for the label used.
Western blot analysis of SSSCA1/ZNRD2 using anti-ZNRD2 antibody. Lane 1: human Hela whole cell lysates, Lane 2: human whole cell lysates, Lane 3: human 293T whole cell lysates, Lane 4: human MCF-7 whole cell lysates, Lane 5: rat ovary tissue lysates, Lane 6: rat testis tissue lysates, Lane 7: mouse testis tissue lysates. After electrophoresis, proteins were transferred to a nitrocellulose membrane at 150 mA for 50-90 minutes. Blocked the membrane with 5% non-fat milk/TBS for 1.5 hour at RT. The membrane was incubated with rabbit anti-ZNRD2 antibody at 0.5 ug/ml overnight at 4oC, then washed with TBS-0.1%Tween 3 times with 5 minutes each and probed with a goat anti-rabbit IgG-HRP secondary antibody at a dilution of 1:5000 for 1.5 hour at RT. The signal was developed using enhanced chemiluminescent. The expected molecular weight of SSSCA1/ZNRD2 is at 21 kDa.
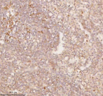
Immunohistochemical staining of SSSCA1/ZNRD2 using anti-ZNRD2 antibody. SSSCA1/ZNRD2 was detected in a paraffin-embedded section of human cervix squamous cell carcinoma tissue. Heat mediated antigen retrieval was performed in EDTA buffer (pH 8.0, epitope retrieval solution). The tissue section was blocked with 10% goat serum. The tissue section was then incubated with 2 ug/ml rabbit anti-ZNRD2 antibody overnight at 4oC. Peroxidase Conjugated Goat Anti-rabbit IgG was used as secondary antibody and incubated for 30 minutes at 37oC. The tissue section was developed using an HRP secondary and DAB substrate.
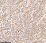
Immunohistochemical staining of SSSCA1/ZNRD2 using anti-ZNRD2 antibody. SSSCA1/ZNRD2 was detected in a paraffin-embedded section of human lung squamous cell carcinoma tissue. Heat mediated antigen retrieval was performed in EDTA buffer (pH 8.0, epitope retrieval solution). The tissue section was blocked with 10% goat serum. The tissue section was then incubated with 2 ug/ml rabbit anti-ZNRD2 antibody overnight at 4oC. Peroxidase Conjugated Goat Anti-rabbit IgG was used as secondary antibody and incubated for 30 minutes at 37oC. The tissue section was developed using an HRP secondary and DAB substrate.
Immunohistochemical staining of SSSCA1/ZNRD2 using anti-ZNRD2 antibody. SSSCA1/ZNRD2 was detected in a paraffin-embedded section of human lung squamous cell carcinoma tissue. Heat mediated antigen retrieval was performed in EDTA buffer (pH 8.0, epitope retrieval solution). The tissue section was blocked with 10% goat serum. The tissue section was then incubated with 2 ug/ml rabbit anti-ZNRD2 antibody overnight at 4oC. Peroxidase Conjugated Goat Anti-rabbit IgG was used as secondary antibody and incubated for 30 minutes at 37oC. The tissue section was developed using an HRP secondary and DAB substrate.
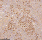
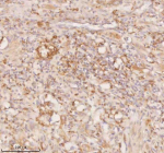
Immunohistochemical staining of SSSCA1/ZNRD2 using anti-ZNRD2 antibody. SSSCA1/ZNRD2 was detected in a paraffin-embedded section of human rectum adenocarcinoma tissue. Heat mediated antigen retrieval was performed in EDTA buffer (pH 8.0, epitope retrieval solution). The tissue section was blocked with 10% goat serum. The tissue section was then incubated with 2 ug/ml rabbit anti-ZNRD2 antibody overnight at 4oC. Peroxidase Conjugated Goat Anti-rabbit IgG was used as secondary antibody and incubated for 30 minutes at 37oC. The tissue section was developed using an HRP secondary and DAB substrate.
Immunohistochemical staining of SSSCA1/ZNRD2 using anti-ZNRD2 antibody. SSSCA1/ZNRD2 was detected in a paraffin-embedded section of human rectum adenocarcinoma tissue. Heat mediated antigen retrieval was performed in EDTA buffer (pH 8.0, epitope retrieval solution). The tissue section was blocked with 10% goat serum. The tissue section was then incubated with 2 ug/ml rabbit anti-ZNRD2 antibody overnight at 4oC. Peroxidase Conjugated Goat Anti-rabbit IgG was used as secondary antibody and incubated for 30 minutes at 37oC. The tissue section was developed using an HRP secondary and DAB substrate.
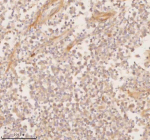
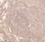
Immunohistochemical staining of SSSCA1/ZNRD2 using anti-ZNRD2 antibody. SSSCA1/ZNRD2 was detected in a paraffin-embedded section of human testicular seminoma tissue. Heat mediated antigen retrieval was performed in EDTA buffer (pH 8.0, epitope retrieval solution). The tissue section was blocked with 10% goat serum. The tissue section was then incubated with 2 ug/ml rabbit anti-ZNRD2 antibody overnight at 4oC. Peroxidase Conjugated Goat Anti-rabbit IgG was used as secondary antibody and incubated for 30 minutes at 37oC. The tissue section was developed using an HRP secondary and DAB substrate.
Immunohistochemical staining of SSSCA1/ZNRD2 using anti-ZNRD2 antibody. SSSCA1/ZNRD2 was detected in a paraffin-embedded section of human testicular seminoma tissue. Heat mediated antigen retrieval was performed in EDTA buffer (pH 8.0, epitope retrieval solution). The tissue section was blocked with 10% goat serum. The tissue section was then incubated with 2 ug/ml rabbit anti-ZNRD2 antibody overnight at 4oC. Peroxidase Conjugated Goat Anti-rabbit IgG was used as secondary antibody and incubated for 30 minutes at 37oC. The tissue section was developed using an HRP secondary and DAB substrate.
Immunohistochemical staining of SSSCA1/ZNRD2 using anti-ZNRD2 antibody. SSSCA1/ZNRD2 was detected in a paraffin-embedded section of human cervix squamous cell carcinoma tissue. Heat mediated antigen retrieval was performed in EDTA buffer (pH 8.0, epitope retrieval solution). The tissue section was blocked with 10% goat serum. The tissue section was then incubated with 2 ug/ml rabbit anti-ZNRD2 antibody overnight at 4oC. Peroxidase Conjugated Goat Anti-rabbit IgG was used as secondary antibody and incubated for 30 minutes at 37oC. The tissue section was developed using an HRP secondary and DAB substrate.
Flow cytometry analysis of fixed and permeabilized human HeLa cells with ZNRD2 antibody at 1ug/million cells (blocked with goat sera); Red=cells alone, Green=isotype control, Blue= ZNRD2 antibody.
Availability 1-2 days
Species Reactivity Human, Mouse, Rat
Format Lyophilized
Host Rabbit
Clonality Polyclonal (rabbit origin)
Isotype Rabbit IgG
Purity Immunogen affinity purified
Buffer Each vial contains 4 mg Trehalose, 0.9 mg NaCl, 0.2 mg Na2HPO4.
UniProt O60232
Localization Cytoplasm
Applications Western Blot : 0.25-0.5ug/ml
Immunohistochemistry : 2-5ug/ml
Immunocytochemistry : 5ug/ml
Immunofluorescence : 5ug/ml
Flow Cytometry : 1-3ug/million cells
ELISA : 0.1-0.5ug/ml
Limitations This ZNRD2 antibody is available for research use only.
Review this product on BioCompare and get a $20 Amazon gift card

Description

ZNRD2 antibody detects Zinc ribbon domain-containing protein 2, a nuclear factor involved in RNA polymerase I transcription and nucleolar organization. The UniProt recommended name is Zinc ribbon domain-containing protein 2 (ZNRD2), also known as Sjogren syndrome/scleroderma autoantigen 1 (SSSCA1). This small zinc-binding protein associates with chromatin and nuclear scaffolds, contributing to transcriptional regulation and RNA processing.

Functionally, ZNRD2 antibody identifies a 179-amino-acid nuclear protein containing a C2H2-type zinc ribbon domain that facilitates nucleic acid and protein interactions. ZNRD2 plays a role in ribosomal RNA synthesis by modulating RNA polymerase I activity within the nucleolus. It interacts with components of the transcriptional machinery, linking chromatin structure to gene expression.

The ZNRD2 gene is located on chromosome 6p21.33 within the major histocompatibility complex (MHC) region, reflecting its immunological relevance. It is expressed in a variety of tissues, including thymus, spleen, and epithelial cells. ZNRD2 has been identified as an autoantigen in autoimmune disorders such as Sjogren syndrome and scleroderma, where antibodies against SSSCA1 epitopes are frequently detected.

Pathologically, aberrant ZNRD2 expression has been associated with cancer and autoimmunity. Its altered transcriptional activity may contribute to abnormal cell proliferation and immune dysregulation. Because ZNRD2 participates in ribosome biogenesis and nuclear organization, its dysfunction can influence cellular growth and stress responses.

ZNRD2 antibody is suitable for western blotting, immunohistochemistry, and immunofluorescence to study nucleolar structure, RNA synthesis, and autoantigen profiles. NSJ Bioreagents provides validated ZNRD2 antibody reagents optimized for nuclear and transcriptional regulation research.

Structurally, ZNRD2 consists of an N-terminal zinc ribbon domain responsible for nucleic acid binding and a conserved C-terminal tail that interacts with nuclear proteins. This antibody helps elucidate ZNRD2's functions in chromatin-associated transcription and its role as an autoimmune target in connective tissue diseases.

Application Notes

Optimal dilution of the ZNRD2 antibody should be determined by the researcher.

Immunogen

E.coli-derived human SSSCA1/ZNRD2 recombinant protein (Position: Q31-H199) was used as the immunogen for the ZNRD2 antibody.

Storage

After reconstitution, the ZNRD2 antibody can be stored for up to one month at 4oC. For long-term, aliquot and store at -20oC. Avoid repeated freezing and thawing.

Cross
Bulk Quote Request Form
Name*:
Organization*:
Email*:
Phone Number*:
Catalog No.*:
Comments and Specifics(amount, formulation, etc.)*:
Validation code: Captchapackage Image


Can't read the image? click here to refresh.
    *required field

Your bulk quote request has been submitted successfully!

Please contact us if you have any questions.