• Tel: 858.663.9055
  • SeparatorEmail: info@nsjbio.com
  • Tel: 858.663.9055
  • Email: info@nsjbio.com
Home >> Antibodies >> ZNF846 Antibody / Zinc Finger Transcription Regulator Antibody

ZNF846 Antibody / Zinc Finger Transcription Regulator Antibody [clone PCRP-ZNF846-1E12] (V4584)

  Catalog No Formulation Size Price (USD)  
Image V4584-100UG 0.2 mg/ml in 1X PBS with 0.1 mg/ml BSA (US sourced), 0.05% sodium azide 100 ug 559
Image
V4584-20UG 0.2 mg/ml in 1X PBS with 0.1 mg/ml BSA (US sourced), 0.05% sodium azide 20 ug 259
Image
V4584SAF-100UG 1 mg/ml in 1X PBS; BSA free, sodium azide free 100 ug 559
Microvalidated
Bulk quote request
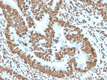
ZNF846 Zinc Finger Transcription Regulator Antibody Colon Carcinoma IHC. Immunohistochemistry analysis of FFPE human colon carcinoma tissue using ZNF846 Antibody (clone PCRP-ZNF846-1E12) shows strong nuclear staining in tumor epithelial cells, consistent with ZNF846 localization as a zinc finger transcription-associated protein. The staining highlights glandular tumor structures with prominent nuclear signal, while surrounding stromal regions display comparatively lower staining intensity. Hematoxylin counterstain provides nuclear contrast and tissue architecture. HIER: boil FFPE tissue sections in pH 9 10 mM Tris with 1 mM EDTA for 20 min and allow to cool before testing.
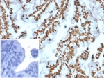
ZNF846 Zinc Finger Transcription Regulator Antibody Prostate Carcinoma IHC. Immunohistochemistry analysis of FFPE human prostate carcinoma tissue using ZNF846 Antibody (clone PCRP-ZNF846-1E12) shows strong nuclear staining in tumor epithelial cells, consistent with ZNF846 localization as a zinc finger transcription-associated protein. The staining highlights glandular tumor architecture, while surrounding stromal regions display comparatively lower signal. Inset: PBS used in place of primary antibody confirms minimal non-specific background staining. Hematoxylin counterstain provides nuclear contrast and structural context. HIER: boil FFPE tissue sections in pH 9 10 mM Tris with 1 mM EDTA for 20 min and allow to cool before testing.
ZNF846 Zinc Finger Transcription Regulator Antibody HeLa Cell IF. Immunofluorescence analysis of PFA-fixed human HeLa cells using ZNF846 Antibody (clone PCRP-ZNF846-1E12) followed by goat anti-mouse IgG-CF488 (green) shows strong nuclear localization consistent with ZNF846 function as a zinc finger transcription-associated protein. CF640R phalloidin (red) highlights actin cytoskeletal structures, providing contrast to the nuclear ZNF846 signal and cellular morphology.
ZNF846 Zinc Finger Transcription Regulator Antibody HuProt Microarray Specificity. Protein microarray analysis using ZNF846 Antibody (clone PCRP-ZNF846-1E12) demonstrates highly specific binding to ZNF846, with the target protein ranked as the top hit and showing a strong Z score relative to all other proteins on the array. Signal intensity drops sharply for non-target proteins, supporting selective recognition with minimal off-target interaction. Z score represents the strength of signal in standard deviations above the mean of all array signals, while S score reflects the separation between the top-ranked target and the next highest signal, indicating relative specificity.
Availability 1-3 business days
Species Reactivity Human
Format Purified
Host Mouse
Clonality Monoclonal (mouse origin)
Isotype Mouse IgG2a, kappa
Clone Name PCRP-ZNF846-1E12
Purity Protein A/G affinity
UniProt Q147U1
Localization Cytoplasm, Nucleus
Applications ELISA (Order BSA-free Format For Coating) :
Immunofluorescence : 1-2ug/ml
Western Blot : 1-2ug/ml
Immunohistochemistry (FFPE) : 1-2ug/ml for 30 min at RT
Limitations This ZNF846 Antibody / Zinc Finger Transcription Regulator Antibody is available for research use only.
Review this product on BioCompare and get a $20 Amazon gift card

Related Products

Description

Zinc finger protein 846 (ZNF846) is a member of the zinc finger protein family, a large group of proteins characterized by the presence of zinc finger domains that mediate DNA binding, RNA interaction, and protein-protein interactions. The ZNF846 Antibody / Zinc Finger Transcription Regulator Antibody is designed to detect this nuclear-associated protein in systems where transcriptional regulation and chromatin-associated processes are of interest. ZNF846 is encoded on chromosome 19, a region enriched for zinc finger genes, and is predicted to function in gene regulatory networks through sequence-specific or protein-mediated interactions. This antibody is part of a collection of Human Protein Microarray validated antibodies that have been screened for specificity across thousands of proteins.

The ZNF846 antibody, also referred to as Zinc finger protein 846 antibody in the literature, recognizes a protein that is expected to localize primarily within the nucleus, consistent with roles in transcriptional control and chromatin organization. Zinc finger proteins commonly act as transcriptional regulators by binding to promoter or enhancer regions or by interacting with transcriptional complexes. Although the precise functional role of ZNF846 remains under investigation, its structural features suggest involvement in regulatory pathways that control gene expression.

This ZNF846 Antibody / Zinc Finger Transcription Regulator Antibody is uniquely positioned for studies exploring nuclear protein localization and transcription-associated processes. In immunohistochemistry and immunofluorescence applications, zinc finger proteins are typically observed as nuclear staining patterns, reflecting their association with DNA and chromatin. Detection of ZNF846 can therefore provide insight into nuclear protein distribution and potential regulatory activity within cells.

Zinc finger proteins such as ZNF846 are widely expressed across tissues, with expression patterns that may vary depending on cell type and developmental state. Members of this protein family are implicated in diverse biological processes, including differentiation, proliferation, and response to cellular signals. Dysregulation of zinc finger proteins has been associated with cancer and other diseases, where altered transcriptional control contributes to changes in gene expression programs.

The mouse monoclonal clone PCRP-ZNF846-1E12 provides consistent and specific detection of ZNF846, supported by protein microarray specificity validation data demonstrating selective binding to the intended target. This ZNF846 Antibody / Zinc Finger Transcription Regulator Antibody is suitable for detecting ZNF846 expression in research applications focused on nuclear protein function, transcriptional regulation, and chromatin-associated processes. Its performance supports detailed evaluation of ZNF846 localization and potential regulatory roles in both normal and disease-associated contexts.

This antibody supports investigation of nuclear protein function, transcriptional regulation, and chromatin-associated signaling pathways involving ZNF846.

This antibody is part of a broader antibody panel offered by NSJ Bioreagents.

Application Notes

Optimal dilution of the ZNF846 Antibody / Zinc Finger Transcription Regulator Antibody should be determined by the researcher.

Immunogen

Recombinant full-length human ZNF846 protein was used as the immunogen for the ZNF846 antibody.

Storage

Aliquot the ZNF846 antibody and store frozen at -20oC or colder. Avoid repeated freeze-thaw cycles.

Alternate Names

ZNF846 antibody, Zinc finger protein 846 antibody, ZNF846 transcription factor antibody, ZNF846 nuclear protein antibody, Zinc finger regulatory protein antibody

Cross
Bulk Quote Request Form
Name*:
Organization*:
Email*:
Phone Number*:
Catalog No.*:
Comments and Specifics(amount, formulation, etc.)*:
Validation code: Captchapackage Image


Can't read the image? click here to refresh.
    *required field

Your bulk quote request has been submitted successfully!

Please contact us if you have any questions.