• Tel: 858.663.9055
  • SeparatorEmail: info@nsjbio.com
  • Tel: 858.663.9055
  • Email: info@nsjbio.com
Home >> Antibodies >> ZNF704 Antibody / Gig1

ZNF704 Antibody / Gig1 [clone PCRP-ZNF704-3C10] (V9728)

  Catalog No Formulation Size Price (USD)  
Image V9728-100UG 0.2 mg/ml in 1X PBS with 0.1 mg/ml BSA (US sourced), 0.05% sodium azide 100 ug 559
Image
V9728-20UG 0.2 mg/ml in 1X PBS with 0.1 mg/ml BSA (US sourced), 0.05% sodium azide 20 ug 259
Image
V9728SAF-100UG 1 mg/ml in 1X PBS; BSA free, sodium azide free 100 ug 559
Microvalidated
Bulk quote request
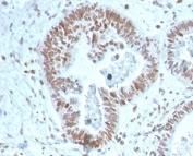
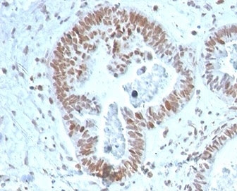
IHC staining of FFPE human prostate carcinoma tissue with ZNF704 antibody (clone PCRP-ZNF704-3C10). HIER: boil tissue sections in pH 9 10mM Tris with 1mM EDTA for 20 min and allow to cool before testing.
Immunofluorescent staining of PFA-fixed human HeLa cells using ZNF704 antibody (green, clone PCRP-ZNF704-3C10) and phalloidin (red).
FACS staining of PFA-fixed human HeLa cells with ZNF704 antibody (blue, clone PCRP-ZNF704-3C10) and isotype control (red).
SDS-PAGE analysis of purified, BSA-free ZNF704 antibody (clone PCRP-ZNF704-3C10) as confirmation of integrity and purity.
Analysis of HuProt(TM) microarray containing more than 19,000 full-length human proteins using ZNF704 antibody (clone PCRP-ZNF704-3C10). These results demonstrate the foremost specificity of the PCRP-ZNF704-3C10 mAb. Z- and S- score: The Z-score represents the strength of a signal that an antibody (in combination with a fluorescently-tagged anti-IgG secondary Ab) produces when binding to a particular protein on the HuProt(TM) array. Z-scores are described in units of standard deviations (SD's) above the mean value of all signals generated on that array. If the targets on the HuProt(TM) are arranged in descending order of the Z-score, the S-score is the difference (also in units of SD's) between the Z-scores. The S-score therefore represents the relative target specificity of an Ab to its intended target.
Availability 1-3 business days
Species Reactivity Human
Format Purified
Host Mouse
Clonality Monoclonal (mouse origin)
Isotype Mouse IgG2c
Clone Name PCRP-ZNF704-3C10
Purity Protein A/G affinity
UniProt Q6ZNC4
Localization Nucleus
Applications Flow Cytometry : 1-2ug/million cells
Immunofluorescence : 1-2ug/ml
Immunohistochemistry (FFPE) : 1-2ug/ml
Limitations This ZNF704 antibody is available for research use only.
Review this product on BioCompare and get a $20 Amazon gift card

Description

Zinc-finger proteins contain DNA-binding domains and have a wide variety of functions, most of which encompass some form of transcriptional activation or repression. The majority of zinc-finger proteins contain a Kr ppel-type DNA binding domain and a KRAB domain, which is thought to interact with KAP1, thereby recruiting histone modifying proteins. As a member of the Kr ppel C2H2-type zinc-finger protein family, ZNF704 (zinc finger protein 704) is a 412 amino acid nuclear protein that contains one C2H2-type zinc finger. The gene encoding ZNF704 maps to human chromosome 8, which is made up of nearly 146 million bases and encodes about 800 genes. Chromosome 8 is also associated with Pfeiffer syndrome, congenital hypothyroidism and Waardenburg syndrome.

Application Notes

Optimal dilution of the ZNF704 antibody should be determined by the researcher.

Immunogen

Recombinant full-length human protein was used as the immunogen for the ZNF704 antibody.

Storage

Aliquot the ZNF704 antibody and store frozen at -20oC or colder. Avoid repeated freeze-thaw cycles.

Cross
Bulk Quote Request Form
Name*:
Organization*:
Email*:
Phone Number*:
Catalog No.*:
Comments and Specifics(amount, formulation, etc.)*:
Validation code: Captchapackage Image


Can't read the image? click here to refresh.
    *required field

Your bulk quote request has been submitted successfully!

Please contact us if you have any questions.