• Tel: 858.663.9055
  • SeparatorEmail: info@nsjbio.com
  • Tel: 858.663.9055
  • Email: info@nsjbio.com
Home >> Antibodies >> ZMYND8 Antibody / Zinc finger MYND domain-containing protein 8

ZMYND8 Antibody / Zinc finger MYND domain-containing protein 8 (RQ7458)

  Catalog No Formulation Size Price (USD)  
Image RQ7458 0.5mg/ml if reconstituted with 0.2ml sterile DI water 100 ug 449
Bulk quote request
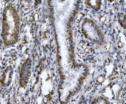
IHC staining of FFPE human colorectal adenocarcinoma tissue with ZMYND8 antibody. HIER: boil tissue sections in pH8 EDTA for 20 min and allow to cool before testing.
IHC staining of FFPE human ovarian cancer tissue with ZMYND8 antibody. HIER: boil tissue sections in pH8 EDTA for 20 min and allow to cool before testing.
IHC staining of FFPE human cervical cancer tissue with ZMYND8 antibody. HIER: boil tissue sections in pH8 EDTA for 20 min and allow to cool before testing.
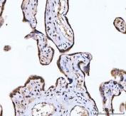
IHC staining of FFPE human placental tissue with ZMYND8 antibody. HIER: boil tissue sections in pH8 EDTA for 20 min and allow to cool before testing.
IHC staining of FFPE mouse brain tissue with ZMYND8 antibody. HIER: boil tissue sections in pH8 EDTA for 20 min and allow to cool before testing.
IHC staining of FFPE rat brain tissue with ZMYND8 antibody. HIER: boil tissue sections in pH8 EDTA for 20 min and allow to cool before testing.
Immunofluorescent staining of FFPE human U-2 OS cells with ZMYND8 antibody. HIER: steam section in pH6 citrate buffer for 20 min.
Western blot testing of human 1) 293T and 2) MCF7 cell lysate with ZMYND8 antibody. Predicted molecular weight ~132 kDa, commonly observed at 132-180 kDa.
Flow cytometry testing of human Daudi cells with ZMYND8 antibody at 1ug/million cells (blocked with goat sera); Red=cells alone, Green=isotype control, Blue= ZMYND8 antibody.
Availability 1-3 business days
Species Reactivity Human, Mouse, Rat
Format Antigen affinity purified
Host Rabbit
Clonality Polyclonal (rabbit origin)
Isotype Rabbit IgG
Purity Antigen affinity purified
Buffer Lyophilized from 1X PBS with 2% Trehalose
UniProt Q9ULU4
Localization Nuclear, cytoplasmic
Applications Western Blot : 0.5-1ug/ml
Immunohistochemistry (FFPE) : 2-5ug/ml
Immunofluorescence : 5ug/ml
Flow Cytometry : 1-3ug/million cells
Direct ELISA : 0.1-0.5ug/ml
Limitations This ZMYND8 antibody is available for research use only.
Review this product on BioCompare and get a $20 Amazon gift card

Related Products

Description

Protein kinase C-binding protein 1 is an enzyme that in humans is encoded by the ZMYND8 gene. The protein encoded by this gene is a receptor for activated C-kinase (RACK) protein. The encoded protein has been shown to bind in vitro to activated protein kinase C beta I. In addition, this protein is a cutaneous T-cell lymphoma-associated antigen. Finally, the protein contains a bromodomain and two zinc fingers, and is thought to be a transcriptional regulator. Multiple transcript variants encoding several different isoforms have been found for this gene.

Application Notes

Optimal dilution of the ZMYND8 antibody should be determined by the researcher.

Immunogen

E. coli-derived recombinant human protein (amino acids M1-Q1087) was used as the immunogen for the ZMYND8 antibody.

Storage

After reconstitution, the ZMYND8 antibody can be stored for up to one month at 4oC. For long-term, aliquot and store at -20oC. Avoid repeated freezing and thawing.

Cross
Bulk Quote Request Form
Name*:
Organization*:
Email*:
Phone Number*:
Catalog No.*:
Comments and Specifics(amount, formulation, etc.)*:
Validation code: Captchapackage Image


Can't read the image? click here to refresh.
    *required field

Your bulk quote request has been submitted successfully!

Please contact us if you have any questions.