• Tel: 858.663.9055
  • SeparatorEmail: info@nsjbio.com
  • Tel: 858.663.9055
  • Email: info@nsjbio.com
Home >> Antibodies >> ZGRF1 Antibody

ZGRF1 Antibody (F40009)

  Catalog No Formulation Size Price (USD)  
Image F40009-0.4ML In 1X PBS, pH 7.4, with 0.09% sodium azide 0.4 ml 439
Image
F40009-0.08ML In 1X PBS, pH 7.4, with 0.09% sodium azide 0.08 ml 205
Bulk quote request
ZGRF1 antibody western blot analysis in K562 lysate
ZGRF1 antibody western blot analysis in mouse Neuro-2a lysate
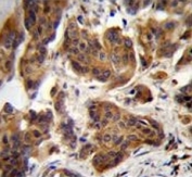
ZGRF1 antibody immunohistochemistry analysis in formalin fixed and paraffin embedded human bladder carcinoma.
Confocal immunofluorescent analysis of ZGRF1 antibody with 293 cells followed by Alexa Fluor 488-conjugated goat anti-rabbit lgG (green). DAPI was used as a nuclear counterstain (blue).
Availability 1-3 business days
Species Reactivity Human, Mouse
Format Antigen affinity purified
Host Rabbit
Clonality Polyclonal (rabbit origin)
Isotype Rabbit Ig
Purity Antigen affinity
UniProt Q86YA3
Applications Western Blot : 1:1000
IHC (Paraffin) : 1:50-1:100
Immunofluorescence : 1:10-1:50
Limitations This ZGRF1 antibody is available for research use only.
Review this product on BioCompare and get a $20 Amazon gift card

Description

GRF-type zinc finger domain-containing protein 1

Application Notes

Titration of the ZGRF1 antibody may be required due to differences in protocols and secondary/substrate sensitivity.

Immunogen

A portion of amino acids 38-66 from the human protein was used as the immunogen for this ZGRF1 antibody.

Storage

Aliquot the ZGRF1 antibody and store frozen at -20oC or colder. Avoid repeated freeze-thaw cycles.

Cross
Bulk Quote Request Form
Name*:
Organization*:
Email*:
Phone Number*:
Catalog No.*:
Comments and Specifics(amount, formulation, etc.)*:
Validation code: Captchapackage Image


Can't read the image? click here to refresh.
    *required field

Your bulk quote request has been submitted successfully!

Please contact us if you have any questions.