• Tel: 858.663.9055
  • SeparatorEmail: info@nsjbio.com
  • Tel: 858.663.9055
  • Email: info@nsjbio.com
Home >> Antibodies >> Zebrafish Ube2k Antibody / Ube2ka / Ube2kb

Zebrafish Ube2k Antibody / Ube2ka / Ube2kb (RZ1112)

  Catalog No Formulation Size Price (USD)  
Image RZ1112 0.5mg/ml if reconstituted with 0.2ml sterile DI water 100 ug 539
Bulk quote request
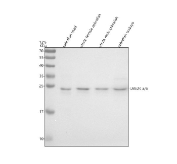
Zebrafish Ube2k Antibody WB. Western blot analysis of UBE2Ka/b protein using Zebrafish Ube2k antibody and 1) zebrafish head, 2) whole female zebrafish, 3) whole male zebrafish and 4) zebrafish embryo tissue lysate. Predicted molecular weight ~22 kDa.
Availability 2-3 weeks
Species Reactivity Zebrafish
Format Antigen affinity purified
Host Rabbit
Clonality Polyclonal (rabbit origin)
Isotype Rabbit Ig
Purity Antigen affinity chromatography
Buffer Lyophilized from 1X PBS with 2% Trehalose
UniProt Q5BLA9 , Q5PR60
Applications Western Blot : 0.5-1 ug/ml
Limitations This Zebrafish Ube2k antibody is available for research use only.
Review this product on BioCompare and get a $20 Amazon gift card

Related Products

Description

Zebrafish (Danio rerio) Ube2k antibody detects Ube2k, a conserved ubiquitin-conjugating enzyme involved in protein turnover, proteasomal targeting, and maintenance of cellular protein quality. In zebrafish, the ube2k gene is represented by paralogs ube2ka and ube2kb, both encoding E2 enzymes that participate in ubiquitination pathways regulating protein stability and degradation. Ube2k is known for its ability to assemble K48-linked polyubiquitin chains, which serve as canonical signals directing substrates to the proteasome. These functions make Ube2ka antibody and Ube2kb antibody reagents valuable tools for investigating protein homeostasis, cellular stress responses, and developmental proteostasis.

During zebrafish development, ube2ka and ube2kb are expressed in metabolically active and highly proliferative tissues including neural primordia, musculature, heart, and endodermal organs. Proper Ube2k activity ensures that misfolded, damaged, or regulatory proteins are efficiently ubiquitinated and removed, preventing accumulation of toxic aggregates and supporting normal tissue morphogenesis. Disruption of Ube2k function in vertebrate systems leads to impaired proteasomal degradation, altered signaling, and cellular stress, emphasizing its critical regulatory role in maintaining proteome integrity.

At the molecular level, Ube2k cooperates with ubiquitin-activating enzymes (E1) and substrate-specific ubiquitin ligases (E3) to catalyze ubiquitin transfer onto target proteins. Its specialized activity in building K48-linked chains distinguishes it from E2 enzymes that generate alternative ubiquitin linkages associated with signaling, trafficking, or autophagy. In zebrafish, Ube2k-dependent ubiquitination contributes to pathways governing neural development, muscle formation, cell cycle progression, and stress adaptability. These processes depend on precise coordination between protein synthesis and degradation, allowing tissues to respond dynamically to changing developmental demands.

Ube2k also plays roles in regulating transcription factors, metabolic enzymes, and cytoskeletal components through targeted degradation. By shaping the abundance of signaling molecules, Ube2k indirectly influences pathways such as Wnt, FGF, Notch, and MAPK, which require strict temporal control during embryogenesis. Studies in vertebrate models highlight Ube2k's involvement in neurodegeneration and muscle physiology, supporting its importance in maintaining long-term protein quality control.

Subcellular localization of Ube2k is primarily cytoplasmic, with enrichment near proteasomes and sites of active protein turnover. It associates with E3 ligases, ubiquitin scaffolding proteins, and components of the 26S proteasome. In zebrafish, trafficking of Ube2k to specific cellular compartments may vary across developmental stages and tissue contexts, reflecting shifts in proteostatic demand. Paralogs ube2ka and ube2kb share conserved functional domains but exhibit nuanced expression differences that may contribute to tissue-specific specialization.

A Zebrafish Ube2k antibody is suitable for research applications such as western blotting, immunohistochemistry, and assays examining ubiquitination, proteasomal function, and cellular protein quality control. This antibody targets Ube2k for studies focusing on developmental proteostasis, neural and muscular maturation, and pathways that regulate protein turnover. NSJ Bioreagents provides the Zebrafish Ube2k antibody to support research in ubiquitin biology and vertebrate developmental regulation.

This Zebrafish antibody is part of a broader Zebrafish / Danio rerio antibody panel offered by NSJ Bioreagents.

Application Notes

Optimal dilution of the Zebrafish Ube2k antibody should be determined by the researcher.

Immunogen

An E.coli-derived zebrafish UBE2Ka/b recombinant protein (amino acids D33-E195) was used as the immunogen for the Zebrafish Ube2k antibody. This antibody will detect the a and b isoforms.

Storage

After reconstitution, the Zebrafish Ube2k antibody can be stored for up to one month at 4oC. For long-term, aliquot and store at -20oC. Avoid repeated freezing and thawing.

Cross
Bulk Quote Request Form
Name*:
Organization*:
Email*:
Phone Number*:
Catalog No.*:
Comments and Specifics(amount, formulation, etc.)*:
Validation code: Captchapackage Image


Can't read the image? click here to refresh.
    *required field

Your bulk quote request has been submitted successfully!

Please contact us if you have any questions.